Behandling av to år gammel jente med gingival fibromatose
Klinisk budskap
Gingival fibromatose er sjelden hos barn og kan være en manifestasjon av underliggende sykdom eller syndrom. Barn med ukjent eller atypisk tilstand i munnhulen bør tidlig henvises til en spesialistklinikk for tverrfaglig vurdering av diagnose, mulig årsak og behandling. Tidlig behandling er indisert når tilstanden påvirker funksjon og generell helse og livskvalitet.
Om pasienten og bakgrunn
En to år gammel jente var vesentlig plaget i hverdagen av smerter i gingiva, noe som også medførte spisevegring og bruk av smertestillende medikamenter. Personalet i barnehagen hadde lagt merke til atferdsendring i perioder med smerte fra munnen og gjorde foresatte oppmerksomme på et atypisk bilde av munnhulen.
Da jenta ble undersøkt ved en lokal tannklinikk, konstaterte man gingival overvekst med periodevis gingival smerte, og hun ble henvist for videre vurdering til Nasjonalt senter for sjeldne tilstander, enhet munnhelse, Lovisenberg diakonale sykehus, Oslo (tidligere TAKO-senteret). Her ble hun vurdert tverrfaglig av tannlegespesialister i pedodonti og periodonti.
Klinisk ble det observert åpen munnstilling og manglende leppelukking, samt salivalekkasje. Tann 52, 51, 61 og 62 var delvis dekket av gingiva. Fibrøs, atypisk gingiva dekket alveolarkammen i sidesegmentene. Tennene 55, 54, 53, 63, 64 og 65 var ikke synlige og kunne heller ikke palperes (figur 1a–b).

Figur 1a–b. Kliniske fotografier fra første undersøkelse. Alder to år og ni måneder.
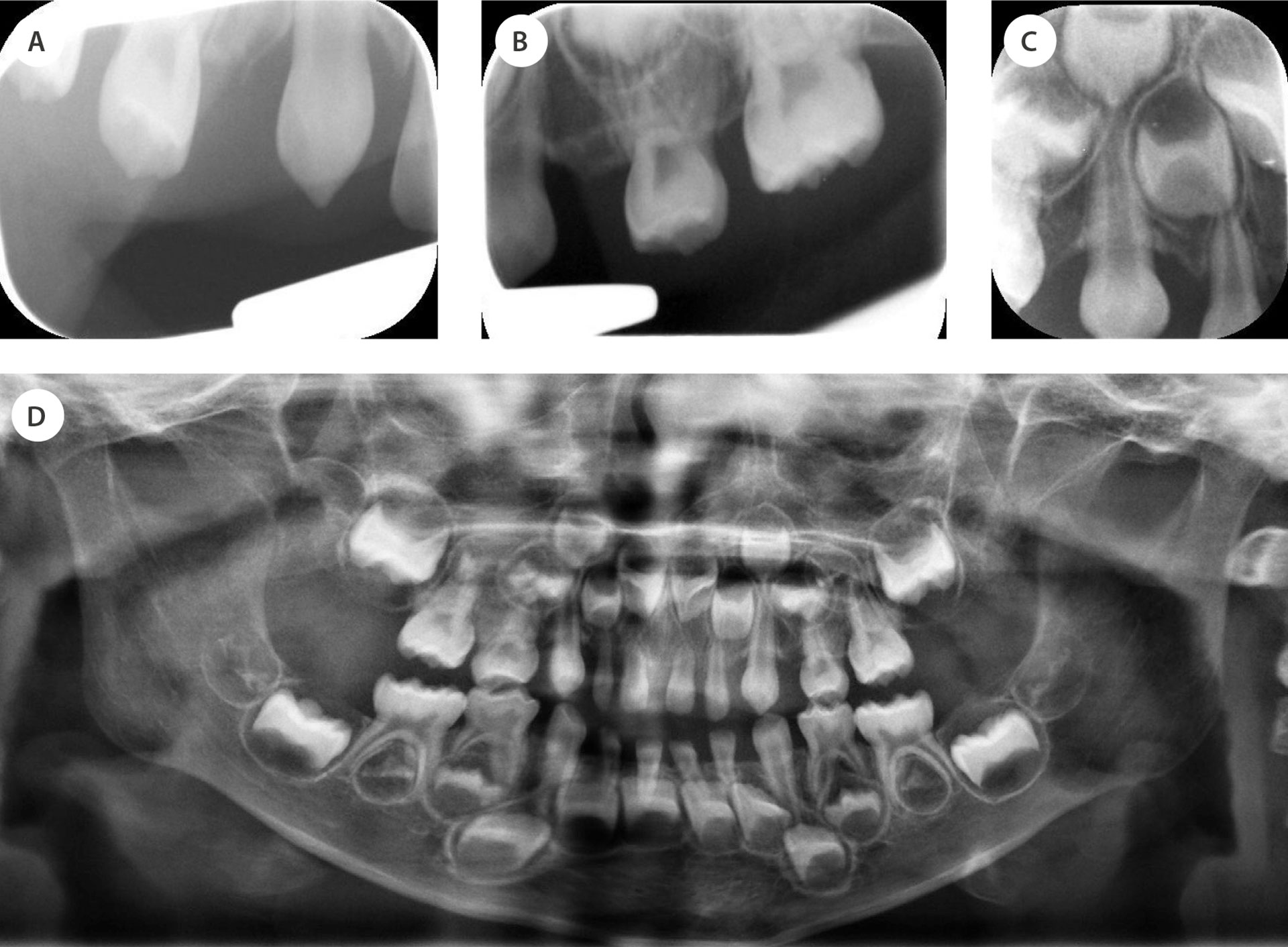
Periapikale røntgenbilder av sidesegmentene viste at tennene 55, 54, 53, 63, 64 og 65 var brutt gjennom ben med hele tannkronen (figur 2a–c). Pasienten hadde også et høyt festet labialt frenulum med vifteform, noe som gjorde overleppen stram og trakk den inn. I underkjeven var tennene 73, 72, 71, 81, 82 og 83 delvis dekket av gingiva. For tann 74 og 84 kunne man delvis se okklusalflaten, men glattflatene var ikke synlige. Selv om gingiva i underkjeven også var fibrøs og atypisk, var bildet ikke like uttalt som i overkjeven. Tannutviklingen på røntgen var forenlig med 4,5-årsalder og var dermed kommet lenger enn gjennomsnittet for pasientens alder [1].
Ved neste undersøkelse lyktes det å få tatt en orthopantomogram (OPG) (figur 2d). Her fant man marginalt bentap i fronten rundt tennene 52, 51, 61 og 62. Det ble valgt å ta et supplerende tannbilde regio 52 for å avgjøre om behov for eventuell ekstraksjon av 52 (figur 2b). Foresatte ble informert om festetap i overkjevens front og mulighet for prematur felling av incisivene og lateralene.
Etter en tverrfaglig vurdering, og i samvalg med foreldrene, ble det vurdert at smerter, spisevegring og manglende lukking av munn gjorde det indisert å utføre gingivektomi i generell anestesi.

Figur 2. Røntgenbilder.
A., B. og C. Periapikale røntgenbilder av molarer og fronttenner i overkjeve.
D. Orthopantomogram (OPG).
Pasientbehandling
Kirurgisk inngrep
Etter intubering var tuben lagt på pasientens høyre side, og andre kvadrant ble derfor behandlet først. Det ble satt infiltrasjonsanestesi, 1,8 ml Xylocain Dental®adrenalin (20 mg/ml + 12,5 µg/ml). Tennene 63, 64 og 65 ble lokalisert ved hjelp av lommedybdemåler og klinisk skjønn. Deretter ble det utført et horisontalt, ekstern bevel, gingivektomisnitt bukkalt og palatinalt i den apikale delen av anatomisk krone. Det ble benyttet et skalpellblad 12D for å legge incisjonssnittet. Gingiva ble deretter løftet bort med pinsett og sårkantene trimmet og formet med vevssaks for å oppnå optimal form og estetikk. Deretter ble det gjort en konvensjonell gingivektomi rundt tennene 61 og 62, og vevet ble rengjort og formet.
Under kirurgioperasjonen ble det konstatert at frenulum var stramt, noe som ble vurdert som medvirkende årsak til manglende bevegelighet av overleppe. Frenulum ble derfor dissekert ut langs festet bukkalt.
Man valgte å sette suturer for å holde vevet på plass og minimere postoperativt ubehag. Det ble satt fire modifiserte madrassuturer og fire enkle suturer Vicryl 4-0 (Braun) (figur 3a–b). Pakning ble vurdert som uegnet på grunn av pasientens lave alder og inngrepets omfang.
Etter at andre kvadrant var fullført, ble tuben flyttet over til pasientens venstre side. Det ble satt infiltrasjonsanestesi i første kvadrant, tilsvarende som i andre kvadrant. Prosedyren som beskrevet for andre kvadrant, ble gjentatt i første kvadrant. I tillegg ble høyden i midtlinjen redusert, men papilla insisivum bevart. Her ble det satt fire madrassuturer og én enkel sutur med Vicryl 4-0. Avslutningsvis ble det satt 3/4 karpyle 1,8 ml Xylocain Dental® infiltrasjon jevnt fordelt over hele overkjeven for å unngå smerte umiddelbart postoperativt.

Figur 3. Kliniske fotografier av kirurgi.
A. Etter gingivektomi andre kvadrant. Legg merke til høydeforskjell gingiva behandlet og ubehandlet side.
B. Frenulektomi.
Biopsi og genetisk test
Under inngrepet tok man også biopsier fra gingiva fra tre forskjellige områder. Biopsiene ble sendt til Avdeling for patologi, Oslo universitetssykehus, Rikshospitalet, for undersøkelse av oral patolog. Mens pasienten var i generell anestesi, tok man i tillegg blodprøver for videre undersøkelser ved Avdeling for medisinsk genetikk, Oslo universitetssykehus.
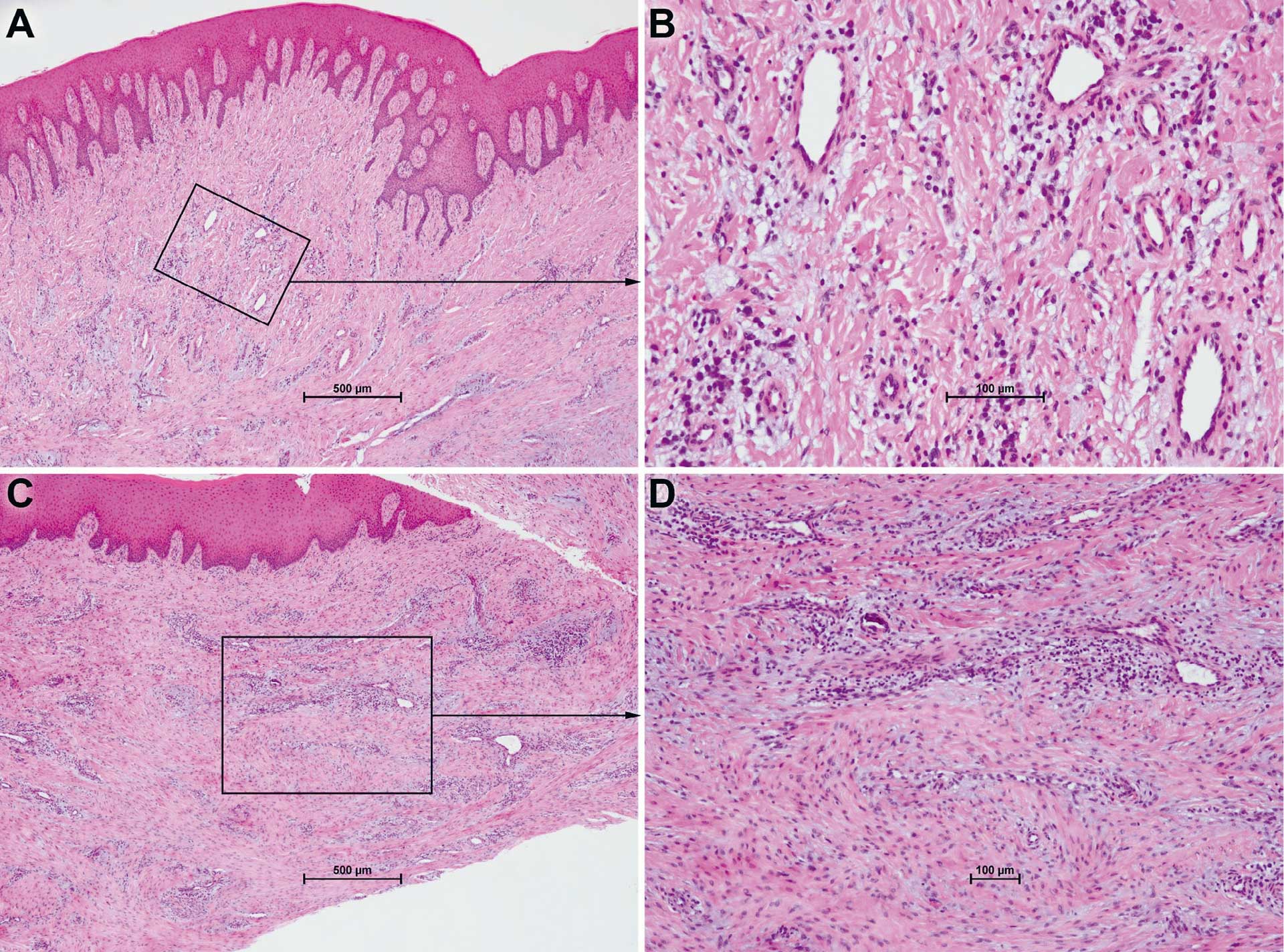
Histologisk undersøkelse av vevet viste en gingivalslimhinne kledd av et parakeratinisert flerlaget plateepitel (figur 4a–d). Subepitelialt utgjorde et grovfibret til hyalint bindevev hoveddelen av preparatet. I bindevevet var blodkar som omgitt av en smal sone bestående av et ødematøst bindevev med kroniske betennelsesceller. Det ble også observert et område med lyse basofile/myxoide drag i bindevevet. Histologisk diagnose var gingivalslimhinne med åreholdig og delvis myxomatøst hyperplastisk grovfibret bindevev med stedvis mild kronisk inflammasjon.
Genetisk testing ble utført for vurdering av syndromer som har gingival fibromatose som en del av syndrombildet. Alle testene var negative.

Figur 4. Histologisk bilde av biopsier fra gingivalt hyperplastisk vev.
A. Plateepitelkledd gingivalslimhinne med fibrøs hyperplasi.
B. Blodkar omgitt av ødematøst bindevev med mild infiltrasjon av kroniske betennelsesceller.
C og D. Gingivalslimhinne med fibrøs hyperplasi og lyse basofile/myxoide områder samt mild fokal infiltrasjon av kroniske betennelsesceller.
Postoperativ utvikling
I dagene etter kirurgiinngrepet ga foresatte tilbakemelding om at datteren nå hadde tydeligere tale og kunne blåse såpebobler, noe hun hadde slitt med tidligere. Én måned etter inngrepet meldte de tilbake at hun var svært stolt av tennene sine og at hun hadde blåst ut alle tre lysene på bursdagskaken sin selv.
Ved kontroll etter åtte uker ble pasienten undersøkt av logoped. Undersøkelsen viste god bevegelighet og kontroll av muskler i munn og ansikt, med unntak av aktivering av overleppen. Det har sin naturlige forklaring i at hun tidligere ikke hadde klart å bruke overleppen før den ble frigjort ved frenulektomi to måneder tidligere. Øvelser for å trene leppe ble gitt. Salivalekkasjen var minskende, men ble observert videre med forventet avslutning av sikling i løpet av fjerde leveår.
Etterkontroller etter 24 timer, to måneder og seks måneder viste stabile kliniske forhold i gingiva (figur 5a–d).

Figur 5. Etterkontroll etter A. 24 timer, B. og C. to måneder og D. seks måneder.
Pasientens sikling bedret seg etter inngrepet, men ble ikke helt borte de første seks månedene. Siklingen kan skyldes oralmotoriske utfordringer som var knyttet til det stramme leppebåndet, kombinert med gingival fibromatose som ga en bitthøyde som medførte manglende leppelukking. Pasienten fikk øvelser av logoped for å arbeide videre med munnmotorikken.
Ti måneder etter inngrepet kunne foresatte melde om en jente som var mye blidere og mer fornøyd. Tale ble tydelig og spising ikke noe problem. Sikling var heller ikke lenger et problem. Gingiva hadde holdt seg stabil. Foresatte fulgte opp plakkontroll og oralmotoriske øvelser svært nøye, noe som sannsynligvis har vært avgjørende for et godt resultat.
I løpet av observasjonstiden ved Nasjonalt senter for sjeldne diagnoser utviklet pasienten også multiple pustler på hud. Hun ble derfor henvist videre til barneavdelingen ved sitt lokalsykehus for videre utredning.
Diskusjon og vurderinger
Gingival fibromatose er en sjelden, benign tilstand som kjennetegnes av en fibrøs gingival overvekst som har normal rosa slimhinnefarge og er fast ved palpasjon [2]. Tilstanden kan affisere begge kjever med oppstart vanligvis ved erupsjon av de permanente incisivene [2]. I alvorlige tilfeller kan gingiva dekke tennene fullstendig og forsinke tannfrembrudd. Gingival fibromatose kan være en isolert tilstand og betegnes da som arvelig gingival fibromatose. Gingival fibromatose kan også være en del av et syndrom [3]. Gjennomsnittsalder ved henvising til spesialistklinikk er 11 år, og fordelingen mellom kjønn er 1:1 [2].
Gingival fibromatose vil ikke gå tilbake til normal gingiva av seg selv, men tilstanden må behandles kirurgisk ved å fjerne gingival overvekst ved hjelp av gingivektomi [4]. Residivfaren er høy, men om man venter til etter at de permanente tennene er frembrutt, er den noe lavere enn når kirurgi utføres i melketannsettet [4]. Valg av kirurgisk teknikk ved snittføring påvirker ikke residivraten, men det bør brukes skalpell. Laser frarådes på grunn av lavere taktilitet og risiko for skader på både bløtvev, benvev og tenner [5].
Gingival fibromatose i det temporære tannsettet er sjelden og tidligere kun beskrevet i enkelte kasuistikker [6]. Her beskriver vi gingival fibromatose hos en 30 måneder gammel jente.
Det å velge et omfattende inngrep i generell anestesi på en så ung pasient ble nøye vurdert. Tilstanden ble vurdert som alvorlig da den hadde medført smerter og spisevegring. Det forelå også marginalt bentap i overkjevens front, sannsynligvis på grunn av overerupsjon av tennene i dette området. Gingival høyde hindret også leppelukking.
Det er kun rapportert om sporadiske tilfeller av gingival fibromatose hos unge barn. Det foreligger få studier på hva tidlige kirurgiske inngrep medfører hos så unge pasienter, men litteraturen er entydig på at tidlig intervensjon ved tilstander som medfører nedsatt funksjon og estetikk, bedrer oral funksjon og øker livskvaliteten til barnet [7][8].
Gingival fibromatose har høy rate av residiv [2]. Hos denne pasienten forventer vi residiv i forbindelse med frembrudd av de permanente tennene. Per i dag har pasienten et horisontalt overbitt og åpent bitt i front. Det er dermed ikke usannsynlig at det blir behov for kjeveortopedisk behandling i fremtiden. Man kan da også regne med residiv når pasienten får utført kjeveortopedisk behandling, som tilsier samarbeid mellom kjeveortoped og tannklinikken som følger opp barnet.
Til orientering: Pasientens foresatte har samtykket til publisering.
Referanser
AlQahtani SJ. Atlas of tooth development and eruption. Barts and the London School of Medicine and Dentistry. London: Queen Mary University of London, MClinDent; 2008.
Carli E, Lardani L, Fitzgibbon R, Fambrini E, Bagattoni S. Periodontology Part 3: Hereditary Gingival Fibromatosis (HGF): from diagnosis to treatment in the paediatric age. Eur J Paediatr Dent. 2022; 23(3):249–250. https://doi.org/10.23804/ejpd.2022.23.03.13
Boutiou E, Ziogas IA, Giannis D, Doufexi AE. Hereditary gingival fibromatosis in children: a systematic review of the literature. Clin Oral Investig. 2021; 25(6):3599–3607. https://doi.org/10.1007/s00784-020-03682-x
Poulopoulos A, Kittas D, Sarigelou A. Current concepts on gingival fibromatosis-related syndromes. J Investig Clin Dent. 2011; 2(3):156-61. https://doi.org/10.1111/j.2041-1626.2011.00054.x
Almiñana-Pastor PJ, Buitrago-Vera PJ, Alpiste-Illueca FM, Catalá-Pizarro M. Hereditary gingival fibromatosis: Characteristics and treatment approach. J Clin Exp Dent. 2017; 9(4):e599–e602. https://doi.org/10.4317/jced.53644
Breen GH, Addante R, Black CC. Early onset of hereditary gingival fibromatosis in a 28-month-old. Pediatr Dent. 2009; 31(4):286–8.
Yonel Z, Parma S, Chapple IL. Juvenile Hyaline Fibromatosis: Impact of Periodontal Care on Quality of Life and a Patient Perspective. Dent Update. 2015; 42(7):656–8, 660–2, 665–6. https://doi.org/10.12968/denu.2015.42.7.656
Hasmun N, Lawson J, Vettore MV, Elcock C, Zaitoun H, Rodd H. Change in Oral Health-Related Quality of Life Following Minimally Invasive Aesthetic Treatment for Children with Molar Incisor Hypomineralisation: A Prospective Study. Dent J (Basel). 2018; 6(4):61. https://doi.org/10.3390/dj6040061
Nøkkelord: gingival fibromatose, behandling gingival fibromatose, gingivektomi, tidlig behandling, oral funksjon
Korresponderende forfatter: Kristin Melkevik Kolltveit. E-post: KristinMelkevik.Kolltveit@tako.no
Akseptert for publisering 09.02.2026. Artikkelen er fagfellevurdert.
Artikkelen siteres som: Kolltveit KM, Østensson P, Søland TM, Vestengen IK, Åsten P, Dzamalija E. Behandling av to år gammel jente med gingival fibromatose. Nor Tannlegeforen Tid. 2026; 135:
Artikkelen er fagfellevurdert.
Artikkelen siteres som:
Kolltveit KM, Østensson P, Søland TM, Vestengen IK, Åsten P, Dzamalija E. Behandling av to år gammel jente med gingival fibromatose. Nor Tannlegeforen Tid. 2026;. doi:10.56373/698c7864419f8