Stabiliserende broer på pasienter med periodontitt stadier III og IV – en retrospektiv studie i opptil 35 år
Klinisk hovedbudskap
Noen få pasienter med periodontitt stadier III og IV fortsetter å miste tenner på tross av systematisk periodontal behandling og god oppfølging.
For pasienter med periodontitt stadier III og IV kan store broer virke stabiliserende og bidra til å redusere tanntap.
Originalartikkelen
En retrospektiv studie med opptil 35 års observasjonstid ble utført i en norsk spesialistpraksis [1]. Studien ble utført som kvalitets sikring av konvensjonell behandling av periodontitt for å kartlegge og om mulig forbedre behandlingen i denne praksisen (REK nr. 821006). 98 pasientene som ble henvist mellom 1986 og 1990 med stadiene III og IV periodontitt fikk i ettertid laget 111 stabiliserende broer. Artikkelen er publisert i Journal of Clinical Periodontology og kan leses open access (https://onlinelibrary.wiley.com/doi/full/10.1111/jcpe.14116)
Klinisk problemstilling
En rekke studier har vist at for pasienter med høyt tanntap på grunn av periodontitt kan en kombinasjon av periodontal behandling og konstruksjon av større broer stabilisere de periodontale forholdene [2][3][4]. Det er viktig å studere om disse broene gir det forventede resultat også på lengre sikt, særlig når det gjelder tanntap, hvor lenge de varer, hvilke faktorer som gjør at de feiler og pasientenes oppfatning av behandlingen.
Beste kliniske praksis eller forståelse
Konvensjonell behandling av periodontitt består av en innledende fase der individuell kontroll av biofilm og mulige risikofaktorer vektlegges. Dette følges opp med ikke-kirurgisk behandling. Om dette ikke fører fram kan det være nødvendig med kirurgisk behandling for å få tilgang til dyptliggende biofilm og/eller tannstein. Periodontitt er en kronisk sykdom som krever livslang oppfølging i form av en strukturert vedlikeholdsbehandling [5]. Imidlertid er det noen få pasienter som på tross av denne behandlingen forsetter å miste både periodontalt feste og tenner [6]. For enkelte av disse vil større stabiliserende broer fra minimum hjørnetann til hjørnetann redusere videre feste- og tann tap.

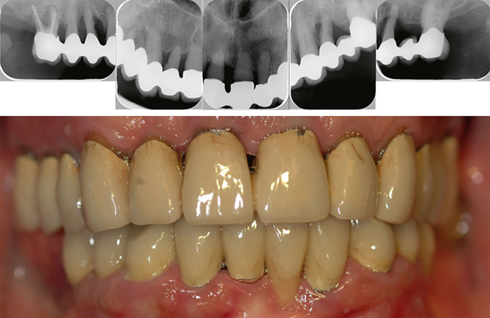
Bro i overkjeven sementert i 1993. Radiologisk bilde fra 2012 og klinisk bilde fra 2025. Foto: Øystein Fardal.
Funn og relevans
Pasientene var svært fornøyd med denne behandlingen [7]. Etter 16 år hadde 14,4 % av broene feilet. Årsakene var dårlig hygiene, karies og endodontiske komplikasjoner. Færre pilartenner enn andre tenner gikk tapt i samme og motsatt kjeve (8,8 % og henholdsvis 34,4 % og 25,4 %).
Andre viktige funn i studien var at broer med en kombinasjon av implantater og tenner kom litt bedre ut enn broer basert kun på tenner (14 % feilet). Broer laget med distale hengeledd resulterte i litt dårligere overlevelse, men kun 16 % av disse feilet etter 14 år. 9 av broene ble kortet inn til gjennomsnittlig 76 % av opprinnelig størrelse og ingen videre komplikasjoner ble observert for disse.
Kun 1,7 % av alle pasientene henvist for periodontitt til en spesialist praksis fikk laget stabiliserende broer. Det må understrekes at selv om studien viste høy overlevelse av broene på lang sikt, er det viktig å vurdere hver pasient nøye før en slik behandling blir utført. Viktige faktorer er plasseringen av, antall, status og periodontalt feste på gjenværende tenner. I tillegg må det legges vekt på pasientenes ønsker, estetiske/anatomiske utfordringer og de økonomiske aspekter av behandlingen [8].
Referanser
Fardal Ø, Grytten J. A retrospective study of stabilizing bridges in patients with stages III and IV periodontitis: Up to 35 years of clinical audit. J Clin Periodontol. 2025; 52: 826-35. https://doi.org/10.1111/jcpe.14116
Fardal Ø, Linden GJ. Long-term outcomes for cross arch stabilizing bridges in periodontal maintenance patients - a retrospective study. J Clin Periodontol. 2010; 37: 299-304. https://doi.org/10.1111/j.1600-051X.2009.01528.x
Montero E, Molina A, Palombo D, Morón B, Pradíes G, Sanz-Sánchez I. Efficacy and risks of tooth-supported prostheses in the treatment of partially edentulous patients with stage IV periodontitis. A systematic review and meta-analysis. J Clin Periodontol. 2022; 49: 182-207. https://doi.org/10.1111/jcpe.13482
Tomasi C, Albouy J-P, Schaller D, Navarro R C, Derks J. Efficacy of rehabilitation of stage IV periodontitis patients with full-arch fixed prostheses: Tooth-supported versus implant-supported – A systematic review. J Clin Periodontol. 2022; 49 (Suppl. 24): 248–71. https://doi.org/10.1111/jcpe.13511
Fardal Ø, Skau I, Grytten J. A 30-year retrospective cohort outcome study of periodontal treatment of stages III and IV patients in a private practice. J Clin Periodontol. 2025; 52: 102–12. https://doi.org/10.1111/jcpe.13877
Fardal Ø, Linden GJ. Tooth loss and implant outcomes in patients refractory to treatment in a periodontal practice. J Clin Periodontol. 2008; 35: 733-8. https://doi.org/10.1111/j.1600-051X.2008.01247.x
Jørnung J, Fardal Ø. Perceptions of patients' smiles: a comparison of patients' and dentists' opinions. J Am Dent Association. 2007; 138: 1544-53. https://doi.org/10.14219/jada.archive.2007.0103
Fardal Ø, Grytten J. A comparison of teeth and implants during maintenance therapy in terms of the number of disease-free years and costs - An in vivo internal control study. J Clin Periodontol. 2013; 40: 645-51. https://doi.org/10.1111/jcpe.12101
Akseptert for publisering 20.11.2025. Artikkelen er fagfellevurdert.
Artikkelen siteres som:
Fardal Ø, Grytten J. Stabiliserende broer på pasienter med periodontitt stadier III og IV – en retrospektiv studie i opptil 35 år. Nor Tannlegeforen Tid. 2026;136:46-7. doi:10.56373/69244218ede8f