Studentutført endodontisk behandling blir stadig mer krevende: økt andel molarer, revisjoner og apikal periodontitt fra 1971 til 2019
Klinisk hovedbudskap
Tannlegestudenter i dag utfører en betydelig større andel teknisk krevende endodontisk behandling sammenliknet med tidligere.
Studien belyser et behov for målrettet opplæring, tett klinisk veiledning og tydelige krav til kvalitet på rotfyllinger i molarer og rotfyllingsrevisjoner i tannlegestudiet.
Originalartikkelen
Flere faktorer kan gjøre endodontisk behandling mer krevende, slik som oblitererte kanaler, pasientens alder og andre tann- og pasientrelaterte forhold. I vår studie konsentrerte vi oss om behandling av molarer, revisjonsbehandlinger og apikal periodontitt, da disse er viktige og lett tilgjengelige indikatorer på kasuskompleksitet. Tenner med apikal periodontitt er i seg selv ikke teknisk utfordrende, men krever grundigere kjemomekanisk rensing som følge av den veletablerte infeksjonen i rotkanalsystemet. Data ble hentet fra elektroniske journaler og tidligere publikasjoner fra fem tidsperioder (1971, 1982, 2005, 2009 og 2019) og omfattet over 2 000 behandlete tenner. Operatørene var hovedsakelig tannlegestudenter i siste del av studiet. Registrerte variabler var tannkategori, diagnose og type behandling (pulpaekstirpasjon, primærbehandling av apikal periodontitt og revisjonsbehandling). Artikkelen er open access-publisert i Clinical and Experimental Dental Research i 2025 https://doi.org/10.1002/cre2.70071 [1].
Klinisk problemstilling
Studenters mestring i endodontisk behandling påvirkes i stor grad av antall rotfyllinger de utfører, og komplekse kasus, som molarer og revisjonsbehandlinger, kan redusere mestringsfølelsen [2]. Problemstillingen i vår studie var om kasuskompleksiteten for tannlegestudenter ved Universitetet i Oslo har økt over tid (1971–2019), målt som andelen molarer, revisjoner og tenner med preoperativ apikal periodontitt. Spørsmålet er relevant fordi kasuskompleksitet påvirker læringsutbytte, risiko for komplikasjoner, behov for kyndig klinisk veiledning og kompetanseutvikling, samt kvaliteten på endodontisk behandling som blir utført i klinisk praksis etter endt studium. Å belyse denne utviklingen ved en stor norsk utdanningsklinikk er derfor viktig for å vurdere fremtidige krav til kompetanse, opplæring og klinisk veiledning.
Beste kliniske praksis eller forståelse

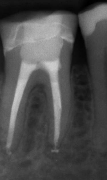
Eksempel på endodontisk behandling utført av tannlegestudent.
Endodontisk behandling ved utdanningsinstitusjoner har ofte god prognose [3][4][5], men behandling av molarer og revisjoner er teknisk krevende, og studenter rapporterer ofte usikkerhet ved slike prosedyrer [6][7]. Denne studien bekrefter at tannlegestudenter i økende grad utfører komplisert endodontisk behandling, noe som utfordrer undervisningen til å sikre nok mengdetrening på molarer og revisjoner for å opprettholde kvalitet og pasientsikkerhet.
Økt kasuskompleksitet i grunnutdanningen understreker også behovet for tett veiledning av kvalifiserte kliniske veiledere for å redusere uønskede avvik og for å styrke både behandlingskvalitet og studentenes mestring.
Funn og relevans
Tannlegestudenter økte andelen endodontisk behandlede molarer fra 18 % i 1971 til 44 % i 2019 og revisjonsbehandlinger fra 9 % til 15 %. Andelen tenner med preoperativ apikal periodontitt økte fra 36 % til 47 %. De største og mest signifikante endringene inntraff mellom 1984 og 2009.
Skandinaviske epidemiologiske data viser relativt høy forekomst av vedvarende apikal periodontitt i rotfylte tenner hos voksne og eldre, med dårligst prognose for molarer [8][9]. En studie fra 2022 viste at blant 65-åringer i Oslo hadde 35 % av de rotfylte tennene vedvarende apikal periodontitt [10].
Referanser
Sunde PT, Skallevold E, Kaur M, Ørstavik DS. Changes in the Difficulty of Endodontic Cases Treated by Undergraduate Students at a University Clinic Between 1971 and 2019. Clin Exp Dent Res. 2025; 11(1): e70071.
Baaij A, Ozok AR, Vth M, Musaeus P, Kirkevang LL. Self-efficacy of undergraduate dental students in Endodontics within Aarhus and Amsterdam. Int Endod J. 2020;53(2):276-84.
Kerekes K, Tronstad L. Long-term results of endodontic treatment performed with a standardized technique. J Endod. 1979;5(3):83-90.
Ng YL, Mann V, Gulabivala K. A prospective study of the factors affecting outcomes of nonsurgical root canal treatment: part 1: periapical health. Int Endod J. 2011;44:583-609.
Sjögren U, Hägglund B, Sundqvist G, Wing K. Factors affecting the long-term results of endodontic treatment. J Endod. 1990;16(10):498-504.
Patel J, Fox K, Grieveson B, Youngson CC. Undergraduate training as preparation for vocational training in England: a survey of vocational dental practitioners' and their trainers' views. Br Dent J. 2006;201(s5):9.
Honey J, Lynch C, Burke F, Gilmour A. Ready for practice? A study of confidence levels of final year dental students at Cardiff University and University College Cork. Eur J Dent Educ. 2011;15(2):98-103.
Silnovic Z, Kvist T, Frisk F. Periapical status and technical quality in root canal filled teeth in a cross sectional study in Jonkoping, Sweden. Acta Odontol Scand. 2023;81(3):249-54.
Kirkevang LL, Ørstavik D, Hörsted-Bindslev P, Wenzel A. Periapical status and quality of root fillings and coronal restorations in a Danish population. Int Endod J. 2000;33(6):509-15.
Diep MT, Hove LH, Orstavik D, Skudutyte-Rysstad R, Sodal ATT, Sunde PT. Periapical and endodontic status among 65-year-old Oslo-citizens. BMC Oral Health. 2022;22(1):371.
Akseptert for publisering 25.11.2025. Artikkelen er fagfellevurdert.
Artikkelen siteres som:
Sunde PT, Skallevold E, Kaur M, Ørstavik D. Studentutført endodontisk behandling blir stadig mer krevende: økt andel molarer, revisjoner og apikal periodontitt fra 1971 til 2019. Nor Tannlegeforen Tid. 2026;136:48-9. doi:10.56373/692ee32d129ae