Grenselandet mellom yrkesetikk og god klinisk praksis – en kasuistikk
Sammendrag: Forfatterne beskriver en kasuistikk der en ung pasient oppsøkte tannlegebehandling med ønske om estetisk korreksjon av asymmetrisk midtlinje, kantmisfarging proksimalt (11, 21) og tannform i overkjevens front. Forfatterne presenterer behandlingssituasjonen fra fire perspektiver, det vi si basert på pasientens egen opplevelse, vurderinger utført ved Spesialistutdanningsklinikken på IKO, UIB som utførte revisjonsbehandling, vurderinger gjort av sakkyndig tannlege i NPE og vurdering etter behandlet tilsynssak hos Statsforvalteren i Vestland. Det ble utført omfattende irreversibel behandling med preparering og permanent sementering av konvensjonelle fullkroner på åtte tenner (14–24). Røntgenbilder ble ikke tatt før eller etter behandling. Resultatet oppfylte ikke pasientens estetiske eller funksjonelle ønsker. Kasuistikken viser hvordan mangel på yrkesetikk og god klinisk praksis kan få konsekvenser for pasientens helse, velvære og økonomi.
Yrkesetikk og kunnskap forteller oss tannleger hvilken tilnærming vi bør ha ved pasientbehandling. For å sikre at tannbehandling samsvarer med samfunnets forventninger om rettferdighet, respekt og ansvarlighet, må praksis være forankret i et solid etisk rammeverk. Dette rammeverket bygger på lover, forskrifter, kliniske retningslinjer og profesjonelle veiledere som guider tannhelsepersonell i ulike situasjoner (1). Det presenterte kasuset er et eksempel på en behandling som verken samsvarer med forsvarlig klinisk praksis, oppdatert faglitteratur eller anbefalte retningslinjer. Formålet med denne artikkelen er å belyse konsekvensene som brudd på «god klinisk praksis» kan medføre.
Kasusbeskrivelse
Kasuistikken som presenteres baserer seg på fire vurderinger av behandlingssituasjonen:
Pasientens egen opplevelse
Kliniske funn ved revisjonsbehandling ved Spesialistutdanningsklinikken på IKO, UiB
Sakkyndigvurdering i NPE
Avgjørelse i tilsynssak hos Statsforvalteren i Vestland
Bakgrunn
En kvinnelig pasient i 20- årene oppsøkte tannlege i Norge med ønske om estetisk forbedring av overkjevens front. Hun ønsket å korrigere midtlinjeasymmetri og misfarging, samt forbedre formen på tennene 12-22 (figur 1). Tennene var tidligere behandlet med «non-prep»- kompositt, disse var nå preget av kantmisfarginger. Pasienten var frisk og brukte ingen medisiner.

Figur 1. Pasientens tenner før kronebehandling. Bildet ble tatt med pasientens sin mobiltelefon og bildekvaliteten er ikke optimal.
1. Pasientens opplevelse av behandlingssituasjonen
På konsultasjonsdagen henvendte pasienten seg til tannlegen med sitt behandlingsønske. Tannlegen anbefalte konvensjonelle fullkroner på seks tenner (13–23) for å oppnå midtlinjeforskyvning og en varig estetisk løsning. Revisjon av komposittfasettene ble frarådet, da tannlegen mente at materialet var utsatt for slitasje og misfarging.
Ingen alternative løsninger ble diskutert. Pasienten uttrykte bekymring for «Tyrkia-tenner», men tannlegen forsikret henne om at behandlingen var «risikofri» og ville gi et naturlig og symmetrisk resultat. På behandlingsdagen foreslo tannlegen å inkludere tann 14 og 24, for å oppnå en større forskyvning av midtlinjen og en bedre estetisk balanse. Dette økte behandlingskostnaden, men pasienten aksepterte forslaget. Deretter startet behandlingen som skulle sluttføres i løpet av bare ett besøk. Ingen pre- eller postoperative røntgenbilder ble tatt. Etter å ha preparert pasientens tenner ble hun sendt hjem i fem timer uten midlertidig bro/kroner festet til pilarene (figur 2). Senere samme dag ble permanente kroner prøvd inn. Ifølge pasienten var kronene klumpete og asymmetriske (figur 3–6), og langt unna «inspirasjonsbildene» som pasienten og tannlegen sammen hadde diskutert i forkant av behandlingen. Pasienten uttrykte tydelig at hun ikke ønsket sementering, og etterspurte fremstilling av nye kroner. Tannlegen informerte da om at fremstilling av nye kroner var utelukket uten fullt vederlag. Videre mente hen at prosessen ville ende i en «katastrofe» dersom pasienten ikke fullførte behandlingen. Grunnet dette utsagnet ble pasienten engstelig og følte seg presset til å akseptere sementeringen av kronene. Kronene ble sementert og pasienten ble sendt hjem. Hun ble ikke tilbudt midlertidig sementering for betenkningstid. I ettertid kontaktet pasienten klinikken gjentatte ganger og informerte om komplikasjoner i form av ømhet i tenner (figur 7), dårlig tilpasset okklusjon, følelse av fylde i overleppen og misnøye med estetikk. Hun ønsket reklamasjon på behandlingen, men kravet ble avvist. På kontrolltimer like etter behandlingen ble små justeringer gjort på kronene ved å redusere dimensjonen. Pasienten var fremdeles ikke fornøyd og etterspurte ytterligere reduksjon av kronene. Ifølge pasienten sa tannlegen at «hvis du maler på et Rembrandt-bilde, er det ikke lenger Rembrandt sitt kunstverk. Dette arbeidet er mitt kunstverk, og justeringer jeg ikke ønsker, vil jeg ikke stå inne for.» Pasienten ble deretter oppfordret til å oppsøke en annen tannlege da behandlingen var ferdigstilt fra deres side.

Figur 2. Bilde av preparerte tenner tatt hjemme hos pasient på behandlingsdagen. Bildet ble tatt med pasientens sin mobiltelefon og bildekvaliteten er ikke optimal.

Figur 3. Klinisk foto av resultat fra siden. Bilde tatt ved Spesialistutdanningsklinikken ved IKO, UiB.

Figur 4. Klinisk foto av resultat i front, papiller er fraværende. Bilde tatt ved Spesialistutdanningsklinikken ved IKO, UiB.

Figur 5. Viser resultatet ved smil. Gjennomgående dårlig estetikk. Feil fargeuttak, asymmetri, maskulin og lang form, samt overdimensjonerte kroner. Bilde tatt ved Spesialistutdanningsklinikken ved IKO, UiB.

Figur 6. Viser dimensjonen av kronene i bucco-palatinal retning. Bilde tatt ved Spesialistutdanningsklinikken ved IKO, UiB.

Figur 7. Viser preparerte tenner umiddelbart etter fjerning av kroner. Pulpaeksponering på tann 11, 12 og 14. Bilde tatt ved Spesialistutdanningsklinikken ved IKO, UiB.
2. Kliniske funn ved revisjonsbehandling i Spesialistutdanningsklinikken på IKO, UiB
Pasienten fikk revidert hele arbeidet ved Spesialistutdanningsklinikken på Institutt for klinisk odontologi ved UiB. Revisjonsarbeidet inkluderte tre rotfyllinger (tann #11,12,14) og fremstilling av åtte nye kroner (figur 8). Ved konsultasjonstimen fant behandlende tannlege indikasjoner for revisjon av kronene. Ifølge journalnotat beskrives funnene slik: «Kronene 14-24 er voluminøse, lange og maskuline. Tennene står ikke i stil til resttannsettet. Dårlig estetikk og fargevalg. Tette approximalrom, vanskeligheter med renhold. Papiller interdentalt er borte. Akseretning på kroner er skjev i forhold til ansiktet. Kronene bør revideres. Gingivale forhold bør prøves å formes ved hjelp av midlertidige kroner».
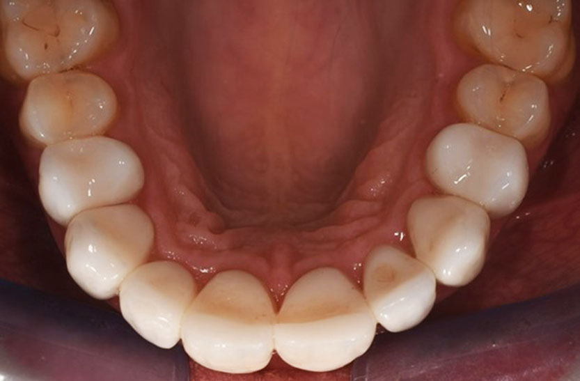
Etter konsultasjonstimen innledes en revisjonsbehandling, som strekker seg over et halvt år. Åtte nye kroner ble fremstilt med best mulig funksjon og estetikk (figur 8). Pasienten beskrives som svært fornøyd med resultatet.
Totalt har behandlingene nå ført til kostnader for pasienten som overstiger hundre tusen kroner. Saken ble meldt inn til Norsk Pasientskadeerstatning.

Figur 8. Resultat etter revisjonsbehandling. Bildet viser nye sementerte kroner fra 14 til 24. På enkelte tenner sees irritasjon i gingiva etter nylig fjerning av sementoverskudd. Bilde tatt ved Spesialistutdanningsklinikken ved IKO, UiB.
3. Sakkyndigvurdering i NPE
Norsk pasientskadeerstatning (NPE) tilkjente pasienten erstatning som følge av behandlingen.
Sakkyndigvurderingen konkluderte med at kronebehandlingen ikke var i tråd med god tannmedisinsk praksis, basert på fraværende journalføring, manglende røntgenbilder, mangel på informasjon om alternative løsninger, skade av pulpa på tre tenner og manglende oppfølging av pasient.
Vurderingen slår fast at det ikke forelå grunnlag for konvensjonelle kroner ut fra mottatt dokumentasjon. Videre mener sakkyndig at kronebehandlingen ikke var utført i tråd med god praksis. Forhold ved behandlingen er beskrevet som følgende:
«Tenner er blitt slipt ned for å kunne få nok plass til et kunstig materiale og ikke motsatt. Det foreligger ikke i journalen en vurdering av tann-nervene («pulpa») og rotspisser og det er ikke mottatt røntgenbilder før behandlingsstart. Pasienten har ikke blitt presentert alle alternative løsninger for å forbedre sin estetikk og spesifikt ikke den mest skånsomme metoden. Tannprepareringene som fremstår på mottatte digitale avtrykksbilder er ujevne. Det er notert skade på tann-nerven på tann 14 der det blir lagt på flytende plast. Imidlertid kommer det frem tydelig på avtrykksbildet at også på̊ tann 12 og tann 11 er det slipt inn på tann-nerven (figur 9). Dette er ikke journalført, og det ser ikke ut til at pasienten er blitt gjort oppmerksom på forholdene.»
Oppfølgingen av pasienten var også mangelfullt bedømt ut fra mottatt dokumentasjon. «Et løp som baseres på å forberede og fremstille åtte permanente kroner i løpet av en konsultasjon gir lite tid og rom for endringer og korreksjoner underveis og det oppstår lett risiko for at pasientens betenkeligheter og synspunkter underveis blir devaluert. Egenopplevelsen gjengitt i journalnotat fra spesialistutdanningsklinikken i tillegg til dokumentert skade påført under tannslipingen som ikke blir meddelt pasient gir dessverre grunnlag for å stille spørsmål om profesjonalitet på innklaget tannlege.»

Figur 9. Kronefragment tatt av under revisjonsbehandling. Størknet blod på innsiden fra pulpaeksponering. Bilde tatt ved Spesialistutdanningsklinikken ved IKO, UiB.
4. Avgjørelse i tilsynssak hos Statsforvalteren i Vestland
I tilsynssaken har Statsforvalteren i Vestland undersøkt om innklaget tannlege har brutt kravet til forsvarlig virksomhet i helsepersonelloven §4, og kravet til journalføring etter helsepersonelloven § 39 jf. 40. Slik beskrives konklusjonen i rapporten:
«Statsforvaltaren har kome til at tannlegen har brote kravet til forsvarleg verksemd etter helsepersonellova § 4 og kravet til journalføring etter helsepersonellova § 39, jf. § 40.
Utført behandling med tannkroner på åtte tenner er ikkje i samsvar med tilrådd praksis. Vi vurderer vidare at det er stor sannsyn at pasienten har hatt unødvendig smerte og ubehag under og etter behandlinga som vart gjennomført. Det kjem heller ikkje fram at du har vurdert alle tilgjengelege og forsvarlege behandlingsmetodar som samsvarer med god klinisk praksis. Informert samtykke kan då vere gjort på feil grunnlag.
Utført behandling er ikkje journalført i tråd med god klinisk praksis.
Statsforvaltaren ber om at verksemda går gjennom saka med tanke på læring og forbetring av rutinar og praksis. Vi ber om tilbakemelding om verksemda si gjennomgang av saken.»
Diskusjon
Behandlingsforløpet som her er beskrevet av pasienten er bekreftet av uavhengige institusjoner gjennom kliniske funn og journalopplysninger.
God klinisk praksis handler om å tilby behandling som balanserer evidensbasert kunnskap, etiske prinsipper og individuell tilpasning for å oppnå best mulig resultat for pasienten (1). Fundamentale etiske prinsipper som pasientautonomi, velgjørenhet og ikke-skade danner grunnlaget for pasientrettigheter (2, 3). Behandlingen av denne pasienten var ikke bare mangelfull i sitt resultat, men også preget av manglende nødvendig informasjon, diagnostiske vurderinger, faglig forsvarlighet og omsorg.
Pasientautonomi er et kjerneprinsipp innen odontologi, der pasienten skal ha rett til å ta egne beslutninger om sin helse og eventuell behandling. For å sikre selvbestemmelsesretten må pasienten motta tilstrekkelig informasjon om sin helsetilstand, den anbefalte behandlingen og alternative løsninger. Informert samtykke er derfor selve nøkkelen til å opprettholde autonomiprinsippet (4).
I tillegg er det «å gjøre godt» selve kjernen i samfunnsoppdraget for tannhelsepersonell, og dette er forankret i velgjørenhetsprinsippet i etisk sammenheng. Prinsippet henger tett sammen med ikke skade-prinsippet (primum non nocere) som pålegger å ikke utføre behandling der risiko for skade overstiger nytteverdien (5, 6).
Anbefalingen om konvensjonelle kroner på åtte tenner, bryter også med prinsippet om minimalt inngripende behandling. Enhver behandling bør være så skånsom som mulig, samtidig som den oppfyller de estetiske og funksjonelle målene (1). Behandlingen medførte betydelig tap av tannsubstans (figur 10). Med pasientens beste i fokus, burde behandlingsalternativer som kjeveortopedisk behandling, revisjon av komposittrestaureringer, skallfasettter eller skallkroner blitt fremlagt som gode løsninger. Informasjonen burde blitt gitt både muntlig og skriftlig slik at pasienten kunne gitt et informert samtykke på riktig grunnlag.

Figur 10. Behandlingen medførte betydelig tap av tannsubstans. Bilde tatt ved Spesialistutdanningsklinikken ved IKO, UiB.
Fraværet av røntgenbilder både før og etter behandlingen er et alvorlig avvik fra kliniske retningslinjer og underminerer muligheten for en korrekt diagnostikk. Den manglende diagnostiske vurderingen kan ha bidratt til pulpaeksponering under preparering. I tillegg ble pasienten sendt hjem uten midlertidig restaurering i fem timer, med pulpaeksponering på tre tenner. Midlertidig restaurering er brukt for å gi pulpabeskyttelse, posisjonsstabilitet, bevaring av okklusal funksjon, hygienekontroll og estetikk (7).
Mangelfull oppfølging og avvisning fra tannklinikken representerer også et brudd på god klinisk praksis. Økonomisk sett har denne behandlingen påført pasienten en uforholdsmessig stor belastning. Den opprinnelige behandlingen var kostbar, og revisjonsarbeidet krevde ytterligere ressurser. Totalsummen for behandlingene oversteg hundre tusen kroner. Behandlingsvalget har også skapt et fremtidig behov for omfattende vedlikehold. Det er verdt å merke seg at gjennomsnittlig levetid for kroner er 10-15 år, noe som vil kreve ytterligere inngrep og kostnader sett i lys av pasientens unge alder (8).
Konklusjon
Kasuistikken viser hvordan mangel på yrkesetikk og god klinisk praksis kan få alvorlige konsekvenser for pasientens helse, velvære og økonomi. Den fremhever også viktigheten av en pasientsentrert tilnærming, der informert samtykke, minimalt invasive prinsipper og faglig forsvarlighet står sentralt.
Samtykke
Pasienten samtykker til publisering.
Referanser
Helsedirektoratet. (2011). God klinisk praksis i tannhelsetjenesten: En veileder i bruk av faglig skjønn ved nødvendig tannbehandling (IS-1589). Helsedirektoratet. Hentet fra http://www.helsedirektoratet.no
Hofmann B, Moezzi M. Bruk av etisk refleksjonsmodell i klinisk praksis. Nor Tannlegeforen Tid. 2023; 133: 972-8.
Olejarczyk, J. P., & Young, M. (2024). Patient Rights and Ethics. StatPearls [Internet]. StatPearls Publishing. Hentet fra https://www.statpearls.com/ArticleLibrary/viewarticle/XXXXX
Store norske leksikon. (n.d.). Selvbestemmelsesrett. Hentet 19. november 2024, fra https://snl.no/selvbestemmelsesrett
Gillon, R. (1985). Primum non nocere and the principle of non-maleficence.British Medical Journal (Clinical Research Edition), 291(6488), 130–131.https://doi.org/10.1136/bmj.291.6488.130
Store medisinske leksikon. (2021, 20. november). De fire prinsipper. Hentet 16. november 2024, fra https://sml.snl.no/de_fire_prinsipper
Gratton DG, Aquilino SA. Interim restorations. Dent Clin North Am. 2004 Apr;48(2):vii, 487-97.doi: 10.1016/j.cden.2003.12.007.
Nilner, K., Karlsson, S., & Dahl, B. L. (Red.). (2003). A textbook of fixed prosthodontics: The Scandinavian approach.Gothia Förlag.
English summary
The boundary between professional ethics and good practice
The authors describe a case in which a patient sought dental treatment for aesthetic correction of an asymmetric midline, proximal discoloration (11. 21), and tooth shape issues in the anterior maxilla. This case is presented from four perspectives: the patient’s perception of the treatment situation, the specialist clinic at the Department of Clinical Dentistry at the University of Bergen that reviewed the treatment, the expert assessment from the Norwegian National Patient Complaint Board (NPE), and the decision made by the Vestland County Governor, who oversees patient complaints. The dentist provided extensive irreversible treatment, preparing and cementing full crowns on eight teeth (14–24). No X-rays were taken before or after the treatment. The outcome failed to meet the patient's aesthetic or functional needs. This case study illustrates how a lack of professional ethics and adherence to sound clinical practice can adversely affect a patient’s health, well-being, and financial stability.
Foldnes H, Rodakowska EJ. Grenselandet mellom yrkesetikk og god klinisk praksis – en kasuistikk. Nor Tannlegeforen Tid. 2025;135:360-5. doi:10.56373/67ed400770049
Korresponderende forfatter: Ewa J. Rodakowska, Institutt for klinisk odontologi, UiB, Postboks 7804, 5020 Bergen ewa.rodakowska@uib.no
Akseptert for publisering 01.04.2025. Artikkelen er fagfellevurdert.
Artikkelen siteres som:
Foldnes H, Rodakowska EJ. Grenselandet mellom yrkesetikk og god klinisk praksis – en kasuistikk . Nor Tannlegeforen Tid. 2025; 135: 360-5.
Norsk MeSH: kasusrapport, etikk, økonomi og unødvendig behandling.
Artikkelen er fagfellevurdert.
Artikkelen siteres som:
Foldnes H, Rodakowska EJ. Grenselandet mellom yrkesetikk og god klinisk praksis – en kasuistikk. Nor Tannlegeforen Tid. 2025;135:360-5. doi:10.56373/67ed400770049