Kirurgisk behandling av en gingival retraksjon resulterte i tykt bløtvevsdekke
Klinisk budskap
Denne kasuistikken dokumenterer at kirurgisk behandling av labiale gingivale retraksjoner i front underkjeve kan gi fullt rotdekke og endring av gingival fenotype fra tynn til tykk. Før utarbeiding av endelig behandlingsplan må det utføres en grundig undersøkelse både av retraksjonsdefekten og omgivende bløt- og hardvev. Valg av kirurgisk teknikk må være basert på kunnskap om optimal sårtilheling og gode operatørferdigheter.
Gingivale retraksjoner defineres som en apikal forskyvning av margo gingiva fra en normal posisjon til et nivå apikalt for emalje-sementgrensen forårsaket av ulike tilstander eller patologier [1]. Tilstanden er assosiert med festetap og kan oppstå på alle tannflater, men påvises oftest labialt.
Traumatisk tannbørsting, røyking, snusbruk, gingival inflammasjon, perioral- og intraoral piercing, malokklusjon og dårlig tilpasset faste eller avtagbare proteser er alle faktorer som kan disponere for utvikling av gingivale retraksjoner. Ved lokale gingivale retraksjoner identifiseres traumatisk tannbørsting som den viktigste etiologiske faktoren [2]. Kjeveortopedisk behandling kan også være en medvirkende faktor til utvikling av gingivale retraksjoner. Særlig forflytning av tenner til posisjoner utenfor alveolarprosessen. Slik tannforflytning vil kunne føre til lokale beindehisenser og i enkelt-kasus fullstendig tap av labialt eller lingvalt/palatinalt alveolært bein. Kjeveortopedisk behandling vil i slike kasus være en predisponerende faktor, mens traumatisk tannbørsting ofte i kombinasjon med et høyt festet frenulum er den direkte utløsende faktoren for utvikling av gingivale retraksjoner [3].
Et høyt festet frenulum er en anatomisk struktur som via drag kan påvirke margo gingiva og bidra til utvikling av gingivale retraksjoner [4]. Frenulum er en mukosafold som inneholder kollagene fibre som fester leppe og kinn til alveolær mukosa, og/eller gingiva og periost. Frenulum kan være et problem dersom fibrene fester for nær margo gingiva. Begrepene frenektomi og frenotomi beskriver kirurgiske inngrep med forskjellig kompleksitet. Frenektomi er total eksisjon av frenulum med tilhørende fiberfeste til periost og alveolært bein, mens frenotomi er en mer overflatisk eksisjon av frenulum uten fjerning av dypt festet kollagene fibre [5].
Gingival vevstype (fenotype) indikerer en dimensjon som er «site-spesifikk» og kan endres over tid ved påvirkning av miljøfaktorer og klinisk intervensjon. Periodontal fenotype er definert via gingival fenotype (gingival tykkelse og keratinisert vevsbredde) og alveolær beinform (tykkelse på labial beinplate) [1]. Gingival fenotype kan bestemmes via en standardisert og reproduserbar metode ved å plassere en periodontal sonde i gingival sulkus for å «måle» vevstykkelsen. Er sonden synlig, klassifiseres gingiva som tynn (≤1 mm), men er sonden usynlig, defineres vevet som tykt (>1 mm) [1). Tykk gingival fenotype viser større grad av stabilitet ved vevsremodellering og er mer motstandsdyktig mot mekaniske traumer og videreutvikling av gingivale retraksjoner [6, 7]. Siden gingival fenotype er en viktig prognostisk faktor, bør denne parameteren identifiseres og vurderes postoperativt ved kirurgisk behandling av gingivale retraksjoner.
I denne kasusrapporten vil vi presentere kirurgisk behandling av en labial gingival retraksjon i underkjevens front på en ung pasient samt beskrive resultatet 13-måneder postoperativt. Graden av bløtvevsdekke og endring i gingival fenotype og pasientens symptombilde, ble brukt til å vurdere behandlingsresultatet.
Bakgrunn
Kasuset er en kvinne på 26 år, frisk uten kjente sykdommer eller allergier. Pasienten bruker minipille. Hun har aldri røykt eller brukt andre nikotinholdige stimulantia. Pasienten fikk utført kjeveortopedisk behandling med fast apparatur i begge kjever i ungdomsårene (2013/2014) der tann 14 og 24 ble ekstrahert på grunn av uttalt horisontalt overbitt. Etter avsluttet kjeveortopedisk behandling ble det i front overkjeve og underkjeve pålimt en palatinal/lingval retensjonstråd. I februar 2022 ble pasienten henvist fra offentlig tannlege til Spesialistutdanningsklinikken, UiB, for vurdering og eventuell behandling av gingival retraksjon labialt 41. Ifølge henvisningen har pasienten den siste tiden merket en rask utvikling av en labial retraksjon 41 som opplevdes betent og øm. Ved henvisningstidspunktet ble retraksjonen målt til 5 mm i vertikal, 4 mm i horisontal retning og med en labial sulkusdybde på 2 mm (figur 1A). Den gingivale fenotype ble generelt vurdert som tynn, men vurderingen labialt 41 var vanskelig på grunn av manglende keratinisering og ett aktivt lokalt fiberdrag mot margo gingiva. Ved aktivt strekk fra frenulum ble den marginale delen av gingiva dradd bort fra tannoverflaten som kan gi økt plakkakkumulering i sulkusområdet (figur 1A). Vevstykkelsen labialt 41 ble ikke vurdert med periodontal sonde i sulkus. Akseretningen på 41 ble karakterisert som nøytral. Basert på kliniske og røntgenologiske funn ble retraksjonen klassifisert som Miller klasse II: Retraksjon til eller apikalt for den mukogingivale grense uten periodontalt festetap approksimalt [8]. Etter Cairos klassifisering ble defekten klassifisert som en RT 1: Labial retraksjon uten festetap approksimalt (figur 1A og 1B; [9]).

Figur 1, A-B. Gingival retraksjon labialt på tann 41 med lokalt fiberdrag mot margo gingiva uten keratinisert, festet gingiva koronalt for fiberfestet (A). Bildet er tatt ved henvisningstidspunktet. Røntgenbilde av tann 41 uten påvisbart approksimalt festetap (B).
Utredning og behandling
Målet for behandlingen var å optimalisere hygienen, gjøre pasienten symptomfri og oppnå fullstendig rotdekke med et tykt bånd av keratinisert gingiva ved hjelp av et ganetransplantat. Pasienten ble instruert i adekvat munnhygiene; myk vanlig børste med rulleteknikk, solo-børste (myk) og mellomromsbørste. Etter avsluttet periodontal behandling, trinn 1 og 2, ble det oppnådd redusert inflammasjonsgrad (figur 2A og B). Likevel merket pasienten fortsatt lett ømhet og blødning ved daglig reinhold. Med drag fra frenulum mot margo gingiva og manglende bånd av keratinisering marginalt, var sannsynligheten stor for at defekten kunne øke i størrelse. Etter ønske fra pasienten ble derfor følgende behandlingsplan lagt: Frenektomi for å fjerne labialt fiberdrag og deretter dekke defekten med et gingivalt transplantat for å stimulere til utvikling av en tykk gingival fenotype labialt 41 [10].
For å redusere risikoen for mulig eksponering av beindehisens labialt 41 under det kirurgiske inngrepet, ble det bestemt å bare eksidere mesiale hovedfiberdrag (figur 2A). Frenektomi med eksisjon av fiberdrag og deretter lukking av incisjonene med fem enkle suturer ble utført oktober 2022 [figur 3A og B). For å sikre fullstendig lukking, ble primære incisjoner lagt i bevegelig mukosa. Suturene ble fjernet 14 dager postoperativt [figur 4).

Figur 2, A-B. Gingival retraksjon tann 41 etter periodontal behandling trinn 1 og 2. Inflammasjonsgraden i gingiva er redusert (A), men fortsatt frenulum-drag mot margo gingiva. Akseretningen på 41 ble karakterisert som nøytral (B).

Figur 3, A-B. Frenektomi med eksisjon av mesiale fiberdrag (A) og deretter lukning av incisjonene med fem enkle suturer (B).

Figur 4. Tilheling etter frenektomi; fjerning av suturer 14 dager postoperativt.
For å dekke retraksjonen ble det 16 uker seinere utført en kirurgisk korreksjon ved bruk av «konvolutt-teknikk» med ganetransplantat [11]. Etter å ha planert rotoverflaten på 41, ble marginalt vev mobilisert og lommen utvidet apikalt og lateralt uten vertikale hjelpesnitt (figur 5A). Det ble så lagt et horisontalt snitt tilsvarende bredden på transplantatet langs palatinal tannrekke regio 24 - 26 og deretter to vertikale snitt mot midten av ganen med en lengde som tilsvarer høyden på transplantatet. Det underliggende bindevevslaget ble fridissekert med en tykkelse på ca. 1,5 mm og plassert i bløtvevslommen labialt 41 slik at det dekket hele retraksjonen (figur 5A og B). Transplantatet ble så stabilisert med ikke-resorberbare suturer i nivå med emalje-sementgrensen, men med ca. 2 mm eksponering koronalt (figur 5B og C). Ganeepitelet ble replassert og primær sårlukking sikret med enkle suturer (figur 5D). Suturene ble fjernet 15 dager postoperativt (figur 6).

Figur 5, A-D. Marginaltvev ble mobilisert og lommen utvidet apikalt og lateralt (A).Bindevevstransplantat fra ganene ble så plassert og suturert i bløtvevslommen i nivå med emalje-sementgrensen, men uten å være fullstendig dekket av bløtvevslappen (B og C). Ganeepitelet ble replassert og primær sårlukking sikret med enkle suturer (D).

Figur 6, A-B. Ved suturfjerning 15 dager postoperativt (A). Etter suturfjerning (B).
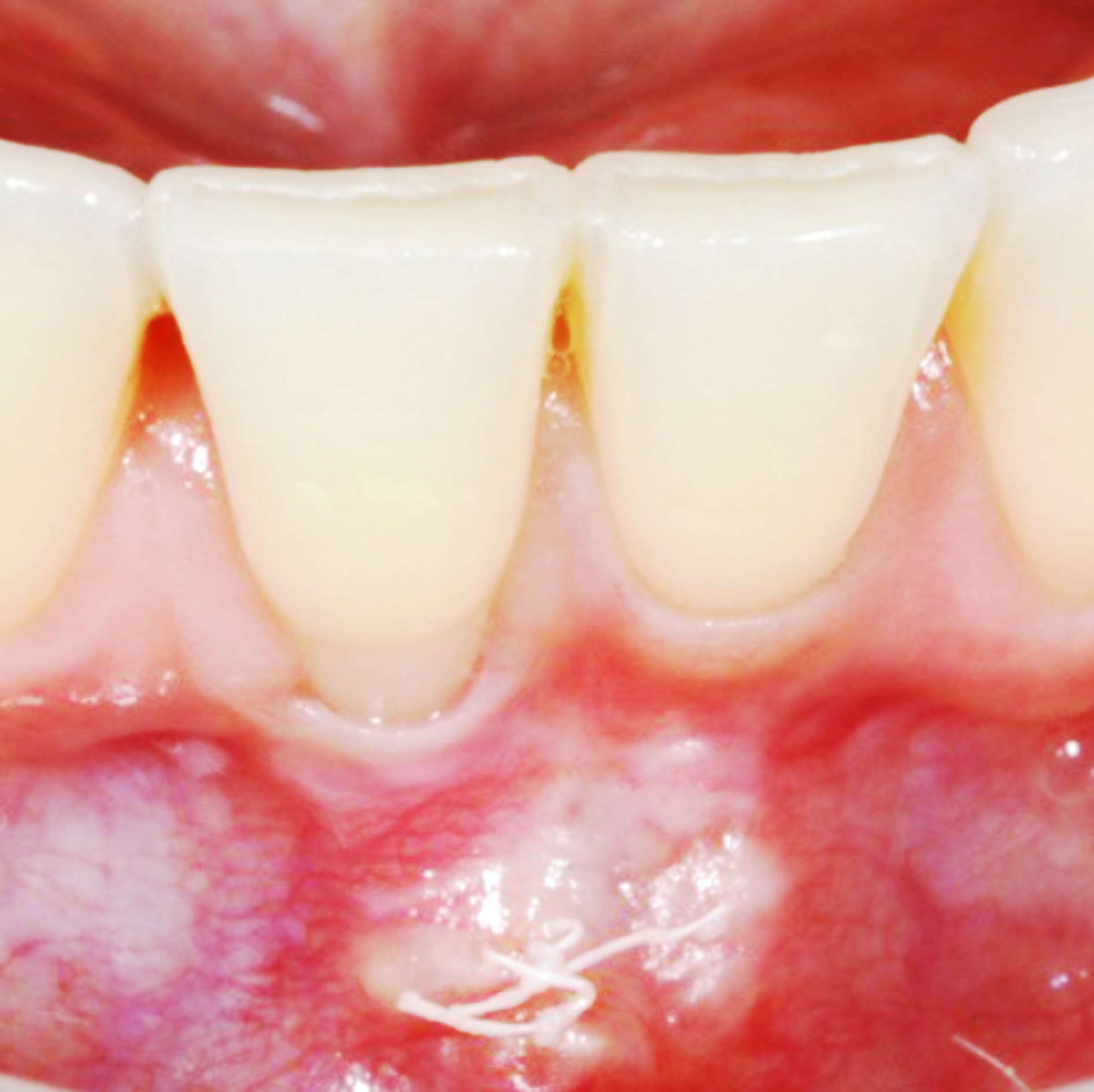
Kontroll 13 måneder postoperativt viste tilnærmet fullt rotdekke til emalje-sementgrensen labialt 41 (figur 7A) og gingival fenotype ble ved sonde i sulkus karakterisert som tykk (figur 7B og C). Båndet av keratinisert gingiva labialt ble målt til 5 mm (figur 7A) og sulkusdybden til 2 mm. Margo gingiva framstår som mer robust og uten kollagent fiberdrag. Fra å oppleve defekten som betent og øm ved henvisningstidspunktet, var pasienten postoperativt symptomfri og uten ubehag eller blødning ved daglig reinhold. Gingival fenotype labialt 31 ble fortsatt vurdert som tynn (svakt gjennomskinn av sonde i sulkus; figur 7B). Ganeepitelet regio 24 -26 viste fullstendig tilheling (figur 8).
Det ble innhentet skriftlig informert samtykke fra pasienten for eventuell publisering av denne kasusrapporten.

Figur 7, A-C. Kontroll 13 måneder postoperativt; fremdeles med tilnærmet fullt bløtvevsdekke til emalje-sementgrensen (A), tykk fenotype (B og C) og med et 5 mm bånd av keratinisert gingiva labialt 41. Gingival fenotype 31 ble vurdert som tynn (gjennomskinn av sonde i sulkus; B).

Figur 8. Fullstendig tilheling palatinalt 13 måneder postoperativt regio 24–26. (til digital versjon).
Diskusjon
Behandlingsresultatet for 41 ble 13 måneder postoperativt karakterisert som vellykket. Klinisk ble det oppnådd tilnærmet full dekning til emalje-sementgrensen med et bløtvevsdekke av tykt gingivalt vev og med et bånd av keratinisert gingiva på om lag 5 mm.
Langtidsoppfølging av individer med god hygiene viser at ubehandlede retraksjoner med stor sannsynlighet forverres over tid [8). En slik utvikling kan resultere i mindre tilfredsstillende estetikk, økt hypersensitivitet og redusert langtidsprognose for tannen. Gingivale retraksjoner med tynn fenotype har økt risiko for videreutvikling av retraksjonsdefekter sammenlignet med tykk fenotype uavhengig om behandling blir utført eller ikke [6). Tykk gingival fenotype er dessuten identifisert som en positiv prediktor for et vellykket resultat etter kirurgisk behandling og postoperativ vevsstabilitet [6, 12]. For denne pasienten var målsetningen ikke bare å dekke retraksjonen, men også å endre gingival fenotype fra tynn til tykk for å oppnå langvarig stabilitet.
Vellykket behandling av gingivale retraksjoner er basert på tre grunnleggende prinsipper. Først må behandler identifisere og korrigere etiologiske faktorer. Deretter må det utføres kliniske og røntgenologiske undersøkelser av defektkarakteristika og omgivende vev. Disse forundersøkelsene danner så basis for å kunne velge og utføre en best mulig individtilpasset behandling. Hovedmålene med transplantatkirurgi er å flytte gingiva til den opprinnelige posisjon ved emalje-sementgrensen og om mulig øke båndet av og tykkelsen på keratinisert gingiva. Bindevevstransplantat i kombinasjon med koronaforskjøvet lapp har i lang tid blitt betraktet som gullstandard ved behandling av gingivale retraksjoner [13]. Siden gingivalt bindevev induserer epitelial differensiering i mottakerområdet [14], vil bruk av bindevevstransplantat øke sannsynligheten for fullt rotdekke og fremme gingival keratinisering og økt vevstykkelse. Transplantat med størst mulig innhold av tett bindevev fra lamina propria syntes å gi best klinisk resultat [15]. Orale biopsier viser at sammenlignet med bindevevstransplantater fra ganen var mengden av lamina propria tykkere ved tuber maxillaris. Dette området synes derfor å være særlig godt egnet til høsting av bindevevstransplantat [15]. På grunn av manglende tilgang til vev ved tuber maxillaris ble det for denne pasienten bestemt å høste transplantat fra ganen. Maksimal keratinisering postoperativt oppnås dersom bindevevstransplantatet ikke blir fullstendig dekket av bløtvevslappen [16]. Transplantatet ble derfor suturert på plass i bløtvevslommen i nivå med emalje-sementgrensen, men med ca. 2 mm koronal eksponering.
Manglende vevsdimensjon i ganen kan skape problemer for høsting av bindevevstransplantat med tilstrekkelig tykkelse. Resultater etter innlegg av bindevevstransplantat med henholdsvis 1 og 2 mm tykkelse har vist liten forskjell 3-måneder postoperativt [17]. Antall mm med keratinisert gingiva og gingival tykkelse var tilnærmet identisk for begge gruppene. For denne pasienten ble det hentet ut et transplantat med tykkelse på ca.1,5 mm. Med strukturert oppfølging og kontinuerlig motivasjon i atraumatisk børsteteknikk er langtidsprognosen god for behandling av gingivale retraksjoner med bindevevstransplantat [18].
Takk
Takk til professor emeritus Einar Berg for gjennomlesing og kommentering av manuskript og til professor emeritus Nils Roar Gjerdet for redigering av figurer.
Referanser
Jepsen S, Caton JG, Albandar JM, Bissada NF, Bouchard P, Cortellini P, et al. Consensus report of workgroup 3 of the 2017 World Workshop J Clin Periodontol. 2018;45(S20):S219-S29. DOI: 10.1111/jcpe.12951
Loe H, Anerud A, Boysen H. The natural history of periodontal disease in man: prevalence, severity, and extent of gingival recession. J Periodontol. 1992;63(6):489-95. DOI: 10.1902/jop.1965.36.3.177
Hage K DM MM, Bunæs DF, Arnesen R, Ibrahim S, Leknes BO, Leknes KN. Gingivale retraksjoner - er kjeveortopedisk behandling en risikofaktor? Nor Tannlegeforen Tid. 2015;125:244-52.
Breault LG, Fowler EB, Moore EA, Murray DJ. The free gingival graft combined with the frenectomy: a clinical review. Gen Dent. 1999;47(5):514-8.
Takei HH AR. Periodontal Plastic and Esthetic Surgery. 9th ed2002. DOI: 10.1016/B978-1-4377-0416-7.00063-9.
Chambrone L, Tatakis DN. Long-Term Outcomes of Untreated Buccal Gingival Recessions: A Systematic Review and Meta-Analysis. J Periodontol. 2016;87(7):796-808. DOI: 10.1902/jop.2016.150625.
Kao RT, Pasquinelli K. Thick vs. thin gingival tissue: a key determinant in tissue response to disease and restorative treatment. J Calif Dent Assoc. 2002;30(7):521-6.
Miller PD, Jr. A classification of marginal tissue recession. Int J Periodontics Restorative Dent. 1985;5(2):8-13.
Cairo F, Nieri M, Cincinelli S, Mervelt J, Pagliaro U. The interproximal clinical attachment level to classify gingival recessions and predict root coverage outcomes: an explorative and reliability study. J Clin Periodontol. 2011;38(7):661-6. DOI: 10.1111/j.1600-051X.2011.01732.x.
Carbone AC, Joly JC, Botelho J, Machado V, Avila-Ortiz G, Cairo F, et al. Long-term stability of gingival margin and periodontal soft-tissue phenotype achieved after mucogingival therapy: A systematic review. J Clin Periodontol. 2024;51(2):177-95.DOI: 10.1111/jcpe.13900.
Larsen OI, Alvestad TG, Dalbak ETG, Bunæs DF, Leknes KN. Gingivale retraksjoner. Nor Tannlegeforen Tid. 2018;128(5).DOI: 10.56373/2018-5-3.
Couso-Queiruga E, Barboza EP, Avila-Ortiz G, Gonzalez-Martin O, Chambrone L, Rodrigues DM. Relationship between supracrestal soft tissue dimensions and other periodontal phenotypic features: A cross-sectional study. J Periodontol. 2023;94(8):944-55.DOI: 10.1111/jcpe.13781.
Chambrone L, Botelho J, Machado V, Mascarenhas P, Mendes JJ, Avila-Ortiz G. Does the subepithelial connective tissue graft in conjunction with a coronally advanced flap remain as the gold standard therapy for the treatment of single gingival recession defects? A systematic review and network meta-analysis. J Periodontol. 2022;93(9):1336-52.DOI: 10.1002/JPER.22-0167.
Karring T, Cumming BR, Oliver RC, Löe H. The origin of granulation tissue and its impact on postoperative results of mucogingival surgery. J Periodontol. 1975;46(10):577-85.DOI: 10.1902/jop.1975.46.10.577.
García‐Caballero L, Gándara M, Cepeda‐Emiliani A, Gallego R, Gude F, Suárez‐Quintanilla J, et al. Histological and histomorphometric study of human palatal mucosa: Implications for connective tissue graft harvesting. J Clin Periodontol. 2023;50(6):784-95.DOI: 10.1111/jcpe.13800.
Di Domenico GL, Di Martino M, Arrigoni G, Aroca S, de Sanctis M. Multiple coronally advanced flap with a selective use of connective tissue graft: A 3-year prospective clinical and histological study. J Periodontol. 2023;94(10):1200-9.DOI: 10.1002/JPER.22-0632.
Moisa DH, Connolly JA, Cheng B, Lalla E. Impact of connective tissue graft thickness on surgical outcomes: A pilot randomized clinical trial. J Periodontol. 2019;90(9):966-72.DOI: 10.1002/JPER.18-0741.
Midtbo M, Daehlin MS, Hage K, Bunaes DF, Berg E, Leknes KN. Interdisciplinary Treatment of Gingival Recession. J Clin Orthod. 2016;50(2):97-102.
English summary
Surgical treatment of a gingival recession resulted in thick soft tissue coverage
A case report
This case report documents that full root coverage is obtainable following surgical treatment of a labial gingival recession in the lower front area of a young patient. The 13-month postsurgical outcome demonstrated also a conversion of gingival phenotype from thin to thick. Thick phenotype increases the probability of enhanced gingival tissue stability. Treatment of gingival recession requires a thorough pre-examination of the recession defect and the surrounding soft and hard tissues to secure an optimal customized treatment plan. Most of the surgical approaches to treat gingival recessions are technique sensitive. Successful outcomes are therefore dependent on choosing a surgical technique grounded on evidence-based knowledge and proficient surgical skill.
Sørensen K.Leknes KN. Kirurgisk behandling av en gingival retraksjon resulterte i tykt bløtvevsdekke. Nor Tannlegeforen Tid. 2025;135:368-74. doi:10.56373/67ee6a3ab4c0e
Korresponderende forfatter: Knut N. Leknes, Institutt for klinisk odontologi, Universitetet i Bergen, Årstadveien 19, 5009 Bergen. E-post: knut.leknes@uib.no
Akseptert for publisering 17.03.2025. Artikkelen er fagfellevurdert.
Artikkelen siteres som:
Sørensen K, Leknes KN. Kirurgisk behandling av en gingival retraksjon resulterte i tykt bløtvevsdekke. En kasuistikk. Nor Tannlegeforen Tid. 2025; 135: 368-74.
Artikkelen er fagfellevurdert.
Artikkelen siteres som:
Sørensen K.Leknes KN. Kirurgisk behandling av en gingival retraksjon resulterte i tykt bløtvevsdekke. Nor Tannlegeforen Tid. 2025;135:368-74. doi:10.56373/67ee6a3ab4c0e