Oversikt over vanlige mineraliseringsforstyrrelser i emaljen og erfaringer i klinikken
Hensikten med dette arbeidet var å gi en oversikt over vanlige forstyrrelser i emalje og dentin, og å registrere erfaringer med diagnostisering, behandling og konsekvenser av mineraliseringsforstyrrelser med fokus på MIH blant tannleger og tannpleiere ansatt i Oslo offentlige tannhelsetjeneste. Molar incisor hypomineralisation (MIH), dental fluorose, amelogenesis imperfekta, emaljehypoplasier på grunn av rakitt og cøliaki samt dentinutviklingsforstyrrelsen dentinogenesis imperfekta beskrives. Totalt 47 tannleger og 38 tannpleiere besvarte et spørreskjema der de rapporterte erfaringer med emaljeforstyrrelser i klinikken. Klinikerne rapporterte at de ofte observerte emaljeforstyrrelser; nær 100 % oppgav at de hadde observert MIH og dental fluorose. De fleste oppgav karies, hyppig revisjon av fyllinger, angst og vegring hos pasienter som vanlige konsekvenser av MIH. De hyppigste behandlingene ved MIH var fyllingsterapi med kompositt og glassionomer. Mange klinikere, over 60 %, følte seg usikre ved diagnostikk av emaljeforstyrrelser. To tredjedeler av klinikerne hadde deltatt på etterutdanning om mineraliseringsforstyrrelser, men nesten alle hadde ønsket mer kunnskap.
Hovedbudskap | |
|---|---|
· |
En tredjedel av tannleger og tannpleiere i Oslo offentlige tannhelsetjeneste rapporterte å diagnostisere emaljeforstyrrelser ukentlig eller oftere. |
· |
Nesten alle tannpleiere og tannleger i Oslo offentlige tannhelsetjeneste hadde diagnostisert MIH og dental fluorose på egen klinikk. |
· |
Karies, hyppig revisjon av fyllinger, angst og vegring ble av de fleste klinikerne oppgitt som konsekvenser av MIH. |
· |
Nesten alle klinikere ønsket mer kunnskap om mineraliseringsforstyrrelser. |
I den norske utdanningen, både for tannpleiere og tannleger er undervisning av mineraliseringsforstyrrelser i de siste 10 - 15 årene utvidet og nyutdannet tannhelsepersonell er forventet å ha en god teoretisk bakgrunn for å diagnostisere og behandle pasienter med emaljeforstyrrelser. Det er ikke publisert undersøkelser av norske klinikeres erfaringer med mineraliseringsforstyrrelser eller hvordan de vurderer sin kompetanse når det gjelder behandling av barn og unge med slike forstyrrelser.
Mineraliseringsforstyrrelser i emaljen hos barn og unge forekommer ofte (1). Det er sannsynlig at diagnostikk av mineraliseringsforstyrrelser er forbedret i de senere årene og at mineraliseringsforstyrrelser, særlig Molar incisor hypomineralisation (MIH) tidligere ble diagnostisert som karies. I tillegg møter tannhelsepersonell flere pasienter med alvorlig dental fluorose nå enn før på grunn av økt innvandring fra land med høy konsentrasjon av fluor i drikkevann. I Norge har man de siste femti år observert nedgang i kariesforekomst; i 2015 hadde 82 % av femåringene og 60 % av tolvåringene ikke fyllingskrevende karies eller tidligere tannbehandling (2). Det er ikke mulig å dokumentere om forekomsten av mineraliseringsforstyrrelser er endret i de senere årene fordi eldre prevalensdata ikke finnes.
I de senere årene er det utført en del prevalensstudier av mineraliseringsforstyrrelser i emalje internasjonalt, men få studier er utført i skandinaviske land (tabell 1). Studier i grupper av norske barn har vist at 20 til 36 % av barn og unge hadde dental fluorose (5,6), mens studier i Sverige og Danmark har vist at 15 % til 40 % av barn og unge hadde MIH (3, 4).
Mineraliseringsforstyrrelser |
Prevalens % |
Referanser |
|---|---|---|
MIH |
2,4 - 40,2 |
Jälevik 2010 (3), Wogelius et al 2008 (4) |
Dental fluorose |
20 - 36 |
Wang et al 1997 (5), Pendrys et al 2010 (6) |
Amelogenesis Imperfekta |
0,07 - 0,14 |
Rajendran 2007 (7) |
Dentinogenesis Imperfekta |
0,01 - 0,02 |
Witkop 1957 (8), Kim & Simmer 2007 (9) |
Alle typer mineraliseringsforstyrrelser i emaljen |
40 - 70 |
Holloway & Ellwood 1997 (1) |
Mineraliseringsforstyrrelser er en følge av at en eller flere faktorer har påvirket tennenes hårdvevsdannelse. Årsakene kan være genetiske, lokale, systemiske eller ukjente, og det kan være vanskelig å stille sikker diagnose. Diagnose stilles basert på anamnese, kliniske funn og eventuelt røntgenologisk undersøkelse.
Hensikten med dette arbeidet var å gi en kort oversikt av årsaker og kliniske funn ved vanlige forstyrrelser i emalje og dentin, og å registrere erfaringer med diagnostisering, behandling og konsekvenser av mineraliseringsforstyrrelser med fokus på MIH blant tannleger og tannpleiere ansatt i Oslo offentlige tannhelsetjeneste. I tillegg ble klinikernes opplæring og deres ønsker om ytterligere kunnskap angående mineraliseringsforstyrrelser kartlagt.
Materiale og metode
Registrering av erfaringer med diagnostisering, behandling og konsekvenser av mineraliseringsforstyrrelser var ett ledd i kvalitetssikring av Den offentlige tannhelsetjenesten i Oslos behandlingstilbud til barn og unge. Et spørreskjema ble sendt med elektronisk post til alle klinikkledere på tannklinikker som utførte allmennbehandling av barn, i alt 17 personer. Klinikklederne leverte skjema til klinikkens tannleger og tannpleiere. Skjemaene ble besvart anonymt. På fellessamling ble det purret muntlig, og de som ikke hadde returnert skjema fikk anledning til å delta. Totalt 85 av 97 ansatte (88 %) returnerte spørreskjema.
Spørreskjema inneholdt spørsmål om personalia, om klinikernes erfaringer og kunnskaper relatert til mineraliseringsforstyrrelser og om hvilken opplæring de hadde i dette tema. Stilling (tannlege eller tannpleier), kjønn, alder, eksamensår og om eksamen var avlagt ved lærested i Skandinavia eller øvrige utland ble kartlagt.
Spørreskjema inneholdt spørsmål om hvor ofte de observerte mineraliseringsforstyrrelser hos egne pasienter. Svaralternativ var daglig, ukentlig eller sjeldnere enn ukentlig. Videre var det spørsmål om de hadde observert følgende mineraliseringsforstyrrelser: MIH, dental fluorose, amelogenesis imperfekta, dentinogenesis imperfekta eller andre forstyrrelser hos egne pasienter. Det var spørsmål om de følte seg sikre ved diagnostisering av disse tilstandene og om de hadde henvist disse pasientene videre til andre for diagnostikk. Svaralternativ var ja og nei.
Skjema inneholdt spørsmål om hvilke problemer de oftest registrerte hos pasienter med MIH. Svaralternativ var angst/vegring, karies, mange fyllingsrevisjoner, andre problemer og ingen problem. Deltagerne ble bedt om å rangere hvor ofte de observerte problemene i klinikken med tall fra 1 (oftest) til 5 (mest sjelden). Det var spørsmål om hvilke behandlinger som oftest ble benyttet ved behandling av MIH. Svaralternativ var komposittfylling, glassionomerfylling, kroneterapi, stålkroneterapi og ekstraksjon. Deltagerne ble bedt om å angi hvor ofte de utførte behandlingene eller observerte utført behandling, ved å rangere dem med tall fra 1 (oftest) til 5 (mest sjelden).
Klinikere ble spurt om det ble undervist om mineraliseringsforstyrrelser i deres grunnutdanning, om de hadde deltatt i opplæring relatert til mineraliseringsforstyrrelser i form av kurs og om de ønsket å delta på ytterligere kurs om dette tema.
Data ble systematisert med bruk av SPSS, versjon 19. Resultatene presenteres ved bruk av gjennomsnitt, standard avvik, andeler og prosenter, og om det var forskjeller mellom tannpleiere og tannlegers svar, ble testet ved bruk av kjikvadrat og t-tester.
Resultat
Vanlige mineraliseringsforstyrrelser
Molar incisor hypomineralisation
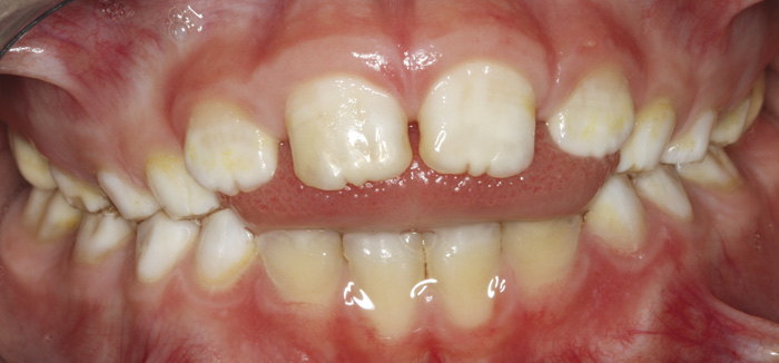
Molar incisor hypomineralisation (MIH) er en mineraliseringsforstyrrelse som rammer en eller flere første molarer i form av hypomineraliserte, velavgrensede områder med hvit, gul eller brun farge (opasiteter). I tillegg til molarer kan en eller flere permanente insisiver, insisale del av permanente hjørnetenner og primære andre molarer være rammet. Figur 1 viser første molar med MIH. Insisivene er i de fleste tilfeller mildere affisert enn molarene (10, 11), se figur 2. Hvite og kremfargede opasiteter er mindre alvorlig hypomineralisert enn gule og brune opasiteter. Grad av hypomineralisering varierer, og emaljen kan frakturere posteruptivt (12).

Figur 1. Molar incisor hypomineralisation, tann 46 med brun misfarging og frakturert emalje.

Figur 2. Molar incisor hypomineralisation, tann 21 med avgrenset kremfarget opasitet.
Ingen etiologisk faktor alene har blitt funnet å forårsake MIH. Flere mulige årsaksfaktorer; både sykdom i de første leveår (13), miljøpåvirkning (14), miljøgiften dioxin (15), antibiotika (16) og amming (17) er rapportert å ha sammenheng med MIH.
Dental fluorose
Det kliniske utseende av emalje ved fluorose varierer fra den mildeste grad med hvite horisontale linjer i emaljen som følger perikymata til den alvorligste graden hvor store deler av emaljen er tapt og tannkronen har forandret anatomisk form (18). Hos personer som er oppvokst i Norge er de milde formene av dental fluorose vanligst (5, 6).
Dental fluorose er forårsaket av fluorinntak over tid i perioden emaljedannelsen pågår. Dental fluorose kan oppstå ved inntak ned til 0,04 mg fluor per kg kroppsvekt per dag. Ved dental fluorose er lokalisasjon og grad av hypomineralisert emalje avhengig av tidspunkt for og størrelsen på fluorinntak (18). Mild dental fluorose som kan oppstå ved inntak av fluortannkrem og fluortabletter (5) illustreres i figur 3. Alvorlig dental fluorose ses oftest hos individer som har vokst opp med fluor i brønnvann og hos innflyttere fra land der drikkevann har høye nivåer av fluor (figur 4).

Figur 3. Mild dental fluorose. Horisontale hvite striper og diffuse, hvite opasiteter.

Figur 4. Alvorlig dental fluorose. Kritthvit emalje og blottlagt dentin med brun misfarging. Tann 13 blottlagt dentin insisalt på grunn av frakturert emalje.
Amelogenesis imperfekta
Amelogenesis imperfekta affiserer vanligvis kvalitet og klinisk utseende av emaljen på alle tenner, men tennene kan også affiseres i ulik grad. Amelogenesis imperfekta har tre hovedformer, en type med hypoplastisk emalje (kvantitativ defekt) og to typer med hypomineralisert emalje; hypomaturasjonstype og hypokalsifikasjonstype (figur 5 - 8) (19). Ved hypoplasitypen er emaljen normalt mineralisert, men kan være tynn med glatt overflate, være ru, ha rader av linjer eller emaljen er med små groper. Ved hypomaturasjonstype ses tenner med hvite, gule eller brune flekker (opasiteter) eller kritthvit emalje. Ved hypokalsifikasjonstype har emaljen normal tykkelse ved frembrudd, men den er alvorlig hypomineralisert, misfarges og tapes raskt. Tennene er sensible (19). Amelogenesis imperfekta er en genetisk, arvelig tilstand.

Figur 5. Amelogenesis imperfekta, hypomaturasjonstype.

Figur 6. Amelogenesis imperfekta, hypoplasitype.

Figur 7. Amelogenesis imperfekta, hypokalsifikasjonstype.

Figur 8. Amelogenesis imperfekta, hypokalsifikasjonstype.
Dentinogenesis imperfekta
Dentinogenesis imperfekta rammer dentinet både i det primære og permanente tannsett (20). Klinisk har tennene klokkeformede tannkroner med ravfarget dentin. Dentinet er mykt, dette resulterer sekundært i emaljefraktur og tap av emalje slik at tannkronene kan slites ned til gingiva. Tilstanden kan forekomme hos individer som har osteogenesis imperfekta, medfødt benskjørhet (type I) eller opptre isolert (type II) (figur 9). Dentinogenesis imperfekta er en arvelig, genetisk forstyrrelse.

Figur 9. Dentinogenesis imperfekta, type II. Tennene 53, 52, 62, 73 og 83 med blottlagt dentin.
Mineraliseringsforstyrrelser ved rakitt og cøliaki
Rakitt kan gi emaljehypoplasier (figur 10). Rakitt er resultatet av lavt inntak av vitamin D eller lite soleksponering. Barn som blir ammet lenge uten å få vitamintilskudd, er mørkhudet eller som har ekstremt kosthold, kan få rakitt. I Norge gis D-vitamintilskudd fra spedbarnsalder, og rakitt er sjeldent (21). En type rakitt er vitamin-D-resistent (hypofosfatemisk rakitt). Tennene kan ved denne tilstanden ha defekt dentin, store pulpae med pulpahorn som strekker seg til emalje-dentingrensen og kan utvikle nekrose og fisteldannelse på tenner som ikke har karies. Denne typen rakitt er en arvelig genetisk sykdom og den vanligste form for rakitt i vestlige land (21).

Figur 10. Rakittiske tenner med hypoplastisk emalje.
Emaljedefekter og residiverende aftøse ulcerasjoner kan være eneste manifestasjonen av sykdommen cøliaki. Det er rapportert at prevalensen av emaljedefekter hos pasienter med cøliaki varierer fra 38 % til 96 % (18). Emaljedefektene kan være opasiteter, pits og emaljehypoplasier liknende de som kan oppstå ved rakitt (figur 10). Cøliaki er intoleranse mot gluten forårsaket av autoimmune mekanismer hos individer som er genetisk disponert (22).
Lokale mineraliseringsforstyrrelser
Mineraliseringsforstyrrelser i en eller flere tenner kan forårsakes av tidlige traumer i primære tenner og av infeksjon i primære tenner oftest som følge av grav karies, såkalte Turnertenner. Alvorlighetsgraden av forstyrrelsene kan variere fra en mindre opasitet i emaljen til hypoplasi med manglende emalje og forandret krone- og rotmorfologi. Forandring etter traume eller infeksjon er avhengig av faktorer som tidspunkt i den permanente tannens utvikling, skadens alvorlighetsgrad og skadens varighet. (23)
Erfaring med mineraliseringsforstyrrelser i emaljen i klinikken
Av tannlegene svarte 47 av 56 (84 %) og av tannpleierne svarte 38 av 41 (93 %). Gjennomsnittsalder var 46 år (sd=13,9) for tannlegene og for tannpleiere 41 år (sd=14,7). Av deltakerne oppga 77 % at de var kvinner og 9 % at de var menn, mens 14 % ikke anga kjønn. Av deltagerne hadde 90 % eksamen fra Skandinavia, 7 % fra andre land og 3 % svarte ikke.
Tannpleiernes og tannlegenes erfaringer med diagnostisering, behandling og konsekvenser av mineraliseringsforstyrrelser var ikke statistisk signifikant forskjellige og presenteres derfor samlet for klinikerne.
Klinikerne rapporterte å observere emaljeforstyrrelser ofte; 14 % rapporterte å observere emaljeforstyrrelser daglig, 25 % ukentlig og de resterende rapporterte å observere emaljeforstyrrelser et par ganger i måneden. Tabell 2 viser hvilke emaljeforstyrrelser klinikerne rapporterte å ha observert i klinikken. Nær 100 % oppgav at de hadde observert MIH og dental fluorose.
Klinikere |
||
|---|---|---|
Observerte utviklingsforstyrrelser |
n |
% |
MIH |
83 |
98 |
Fluorose |
82 |
97 |
Amelogenesis imperfekta |
52 |
61 |
Dentinogenesis imperfekta |
17 |
20 |
Andre typer av utviklingsforstyrrelser |
16 |
19 |
Omtrent en tredjedel av klinikerne oppgav at de var sikre når de stilte diagnose, nesten halvparten av klinikerne (46 %) oppgav at de av og til følte seg usikre mens 17 % svarte at de var usikre ved diagnostikk av emaljeforstyrrelser. Over halvparten av klinikerne (57 %) rapporterte at de hadde henvist pasienter videre for diagnostikk av emaljeforstyrrelse.
Tabell 3 viser hvilke kliniske følgetilstander klinikerne rapporterte å observere hos pasienter med MIH. Karies var det problemet som flest klinikere (35 %) anga som vanlig følge av MIH. De fleste klinikere, over 70 % rapporterte å ha observert både karies, hyppig revisjon av fyllinger og angst og vegring hos pasienter med MIH.
Følgetilstand |
Klinikere som hadde observert følgetilstand |
Klinikere som anga tilstanden som vanligste følge |
||
|---|---|---|---|---|
n |
% |
n |
% |
|
Karies |
67 |
79 |
30 |
35 |
Hyppig revisjon av fyllinger |
66 |
78 |
10 |
12 |
Angst og vegring |
60 |
71 |
6 |
7 |
Andre følger |
30 |
35 |
2 |
2 |
Ingen følger |
3 |
4 |
0 |
- |
Tabell 4 viser de behandlingstyper som oftest ble utført ved MIH. De fleste klinikere oppgav at de vanligste behandlingene var fylling med kompositt og glassionomer.
Klinikere |
||
|---|---|---|
n |
% |
|
Fylling med kompositt |
56 |
66 |
Fylling med glassionomer |
48 |
57 |
Ekstraksjon |
34 |
40 |
Stålkroner |
18 |
21 |
Permanent kroneterapi |
11 |
13 |
De fleste klinikere (91 %) rapporterte at de hadde hatt undervisning om emaljeforstyrrelser i grunnutdanningen, og to tredjedeler av klinikerne (67 %) oppga at de hadde deltatt på etterutdanningskurs om temaet. Nær 100 % av tannpleiere og tannleger rapporterte at de ønsket mer kunnskaper om emaljeforstyrrelser.
Diskusjon
Hovedmålet med denne undersøkelsen var å kartlegge offentlig ansatte tannlegers og tannpleieres kunnskap om og erfaringer med mineraliseringsforstyrrelser i emalje. Klinikere i Oslo rapporterte at MIH og dental fluorose var vanlige funn i klinikken; nær 100 % hadde observert MIH og dental fluorose og en tredjedel rapporterte å diagnostisere mineraliseringsforstyrrelser ukentlig eller oftere. De rapporterte at disse forstyrrelsene var ressurs- og behandlingskrevende med konsekvenser som karies, hyppig revisjon av fyllinger og angst for tannbehandling.
Det er ikke grunn til å tro at forholdene i Den offentlig tannhelsetjenesten i Oslo, hverken pasientene eller tannleger og tannpleiere skiller seg vesentlig fra forholdene i andre områder. Det er sannsynlig at klinikernes erfaringer er representative for situasjonen ved offentlige tannklinikker i Norge. Undersøkelsen var en spørreundersøkelse og svarene var basert på klinikernes erfaringer. Det er derfor usikkerhet ved de absolutte tallene. Det er ingen grunn til å tro at deltagerne bevisst har under- eller overrapportert.
MIH var den mineraliseringsforstyrrelsen som oftest ble observert av klinikerne i Oslo. Dette er i samsvar med resultatene i en spørreundersøkelse blant pedodontister i 31 europeiske land der nesten alle (97 %) svarte at de var godt kjent med MIH (24).
Tannleger og tannpleiere i Oslo rapporterte at de observerte mange konsekvenser av MIH hos sine pasienter. I tillegg til de rapporterte konsekvensene i denne studien er det registrert i andre studier at mange pasienter opplever ising (25). Forekomst av ising ble ikke kartlagt i denne undersøkelsen. Resultatene er i samsvar med studier fra andre land, som har rapportert mange behandlingssesjoner og hyppig revisjon av fyllinger hos pasienter med MIH (10, 26, 27). Jälevik og Klingberg (26) fant at barn med MIH før 9-års alder hadde fått behandling av første permanente molarer 10 ganger så ofte som barn uten MIH. I en europeisk spørreundersøkelse ble det rapportert om MIH av 53 pedodontister fra 29 land. Majoriteten av disse anså MIH for å være et klinisk problem (27).
Klinikerne i denne undersøkelsen oppgav at de ofte observerte angst og vegring blant pasienter med MIH. Dette er i tråd med en undersøkelse av Jälevik og Klingberg (26) som rapporterte angst dobbelt så hyppig blant barn med MIH som blant barn uten mineraliseringsforstyrrelse. Angst og vegringsproblematikk kan ha sammenheng med at ising i forbindelse med MIH erfaringsmessig er hyppig.
De fleste klinikerne rapporterte at barn med MIH oftest ble behandlet med fyllinger, noe mindre hyppig med ekstraksjon og sjelden med stålkrone- eller annen kroneterapi. I en studie av 18-åringer med MIH er det rapportert at ingen pasienter var behandlet med stålkroner (27). Ekstraksjon av permanente molarer som er alvorlig affiserte med MIH anbefales som et godt behandlingsalternativ (28). Ekstraksjon utføres oftest før erupsjon av andre permanente molar når dannelsen av bi- eller trifurkasjonen kan observeres radiologisk, og i mange tilfeller oppstår spontan lukelukking både i over- og underkjeve. I denne undersøkelsen var dette et behandlingsalternativ som ble angitt av 40 % av tannlegene og tannpleierne. Erfaringsmessig benyttes fluor ofte ved ising i tenner, og i tillegg til annen behandling prøves fluorpensling ofte for å lindre smerter ved mineraliseringsforstyrrelser.
Relativt mange klinkere rapporterte observasjon av de arvelige mineraliseringsforstyrrelsene amelogenesis imperfekta og dentinogenesis imperfecta. Henholdsvis halvparten av klinikerne og en femtedel av klinikerne hadde observert amelogenesis imperfekta og dentinogenesis imperfekta. Sammenliknet med den lave prevalensen av disse arvelige mineraliseringsforstyrrelsene virker de rapporterte tall på observasjoner høyt. En forklaring kan være at pasienter med amelogenesis imperfekta og dentinogenesis imperfekta ofte har store behandlingsbehov som medfører mange klinikkbesøk fordelt over mange år og at flere behandlere over tid observerer disse pasientene.
Nesten alle klinikere oppgav at de hadde hatt undervisning om mineraliseringsforstyrrelser i grunnutdanningen, og de fleste rapporterte at de hadde deltatt på kurs om mineraliseringsforstyrrelser. På tross av dette var det bare omtrent en tredjedel av klinikerne som følte seg sikre i diagnostikk av mineraliseringsforstyrrelser. Dette kan forklare hvorfor over halvparten av klinikerne rapporterte at de hadde henvist pasienter med mineraliseringsforstyrrelser videre. Det kan også delvis forklare klinikernes ønske om flere kurs om mineraliseringsforstyrrelser.
Denne undersøkelsen viste at mineraliseringsforstyrrelser og særlig MIH var vanlig i tannlegers og tannpleieres hverdag, krever mye behandling og dermed legger beslag på betydelige ressurser. Klinikere henviste ofte pasienter med utviklingsforstyrrelser, dette kan tyde på behov for spesialistbehandling. Resultatene viste videre at en stor del av tannleger og tannpleiere ønsket oppdatering av kunnskapene om mineraliseringsforstyrrelser.
Takk
Forfatterne takker tannleger og tannpleiere i Oslo offentlige tannhelsetjeneste for at de villig deltok i spørreundersøkelsen. Tannhelsetjenestens ledelse takkes for tilrettelegging og tillatelse til å gjennomføre undersøkelsen.
English summary
Developmental disturbances in enamel. Experiences of dental clinicians
The purpose of this paper was to present common developmental disturbances in enamel and dentin, and to study the experience of dentists and dental hygienists in The Public Dental services in Oslo regarding diagnosis, treatment and consequences of developmental disturbances. MIH, dental fluorosis, amelogenesis imperfecta, enamel hypoplasia caused by rickets, enamel defects caused by celiac disease and dentinogenesis imperfecta are described. Dentists and dental hygienists reported that they frequently observed developmental disturbances in enamel. Nearly 100 % reported that they had observed MIH and dental fluorosis. The majority of the clinicians reported that caries, frequent revision of fillings, fear and behavioral management problems were common in patients with MIH. The most frequent treatments of MIH were filling with composite and glassionomer. Most of the clinicians, 60 percent, felt uncertain when diagnosing developmental disturbances in enamel and nearly all wanted more knowledge about developmental disturbances.
Referanser
Holloway PJ, Ellwood RP. The prevalence, causes and cosmetic importance of dental fluorosis in the United Kingdom: a review. Community Dent Health. 1997; 1: 148 - 55.
Statistisk sentralbyrå (SSB). https://statbank.ssb.no/helse/statistikker/tannhelse Tabell 06141 (lest 26.09.2016).
Jälevik B. Prevalence and diagnosis of Molar-Incisor-Hypomineralisation (MIH): A systematic review. Eur Arch Paed Dent. 2010; 11: 59 - 64.
Wogelius P, Haubek D, Poulsen S. Prevalence and distribution of demarcated opacities in permanent 1st molars and incisors in 6 - 8-years-old Danish children. Acta Odontol Scand. 2008; 66: 58 - 64.
Wang NJ, Gropen A-M, Øgaard B. Risk factors associated with fluorosis in a non-fluoridated population in Norway. Community Dent Oral Epidemiol. 1997; 25: 396 - 401.
Pendrys DG, Haugejorden O, Bårdsen A, Wang NJ, Gustavsen F. The risk of enamel fluorosis and caries among Norwegian children. Implications for Norway and the United States. JADA. 2010; 141: 401 - 14.
Rajendran R. Shafer's textbook of oral pathology. Amsterdam, Elsevier 2007.
Witkop CJ. Hereditary defects in enamel and dentin. Acta Genet Med Gemollol. 1957; 7: 236 - 9.
Kim JW, Simmer JP. Hereditary defects. J Dent Res 2007; 86: 392 - 99.
Weerheijm KL, Jälevik B, Alaluusua S. Molar-Incisor Hypomineralisation. Caries Res. 2001; 35: 390 - 1.
Weerheijm KL. Molar incisor hypomineralisation (MIH). Eur J Paed Dent. 2003; 3: 115 - 20.
Crombie F, Manton DJ, Palamara JEA, Zalizniak I, Cochrane NJ, Reynolds EC. Characterisation of developmentally hypomineralised human enamel. J Dent. 2013; 41: 611 - 8.
Lygidakis NA, Dimou G, Marinou D. Molar-Incisor-hypomineralisation (MIH). A retrospective clinical study in Greek children. II Possible medical aetiological factors. Eur Arch Paediatr Dent. 2008; 9: 207 - 17.
Koch G, Hallonsten A-L, Ludvigsson N, Hansson BO, Holst A, Ullbro C. Epidemiologic study of idiopathic enamel hypomineralization in permanent teeth of Swedish children. Community Dent Oral Epidemiol. 1987; 15: 279 - 85
Alaluusua S, Lukinmaa P-L, Vartiainen T, Partanen M, Torppa J, Tuomisto J. Polychlorinated dibenzo-p-dioxins and dibenzofurans via mother's milk may cause developmental defects in the child's teeth. Environ Toxicol Pharmacol. 1996; 15: 193 - 7.
Jälevik B, Norén JG, Klingberg G, Barregård L. Etiologic factors influencing the prevalence of demarcated opacities in permanent first molars in a group of Swedish children. Eur J Oral Sci 2001; 109: 230 - 4.
Fagrell TG, Ludvigsson J, Ullbro C, Lundin S-Å, Koch G. Aetiology of severe demarcated enamel opacities - an evaluation based on prospective medical and social data from 17,000 children. Swed Dent J. 2011; 35: 57 - 67.
Fejerskov O, Larsen MJ, Richards A, Baelum V. Dental tissue effects of fluoride. Adv Dent Res. 1994; 8: 15 - 31.
Raadal M. Amelogenesis imperfecta. Patogenese, klassifikasjon og terapi. Nor Tannlegeforen Tid. 1985; 95: 605 - 12.
Barron MJ, McDonnell ST, MacKiel I, Dixon MJ. Hereditary dentine disorders: dentinogenesis imperfecta and dentine dysplasia. Orphanet J Rare Disord. 2008; 3: 31.
Rasmussen P, Raadal M. Kalsiumstoffskiftet, rakitt og tannutvikling. Nor Tannlegeforen Tid. 2001; 111: 328 - 35.
Wierink CD, Van Diermen DE, Aartman IHA, Heymans HSA. Dental enamel defects in children with coeliac disease. Int J Paed Dent. 2007; 17: 163 - 8.
Espelid I, Haubek D, Jälevik B. Developmental defects of the dental hard tissues and their treatment. I: Koch G, Poulsen S. Pediatric Dentistry. A clinical approach. Copenhagen, Wiley-Blackwell, 2009.
Weerheijm KL, Mejare I. Molar incisor hypomineralization: a questionnaire inventory of its occurrence in member countries of the European Academy of Paediatric Dentistry (EAPD). Int J Paed Dent. 2003; 13: 411 - 6.
Fagrell T. Molar Incisor Hypomineralisation. Gothenburg, Swed Dent J. Suppl 216, 2011.
Jälevik B, Klingberg G. Dental treatment, dental fear and behaviour management problems in children with severe enamel hypomineralization of their permanent first molars. Int J Paed Dent. 2002; 12: 24 - 32.
Jälevik B, Klingberg G. Treatment outcomes and dental anxiety in 18-year-olds with MIH, comparisons with healthy controls - a longitudinal study. Int J Paed Dent. 2012; 22: 85 - 91.
Jälevik B, Möller M. Evaluation of spontaneous space closure and development of permanent dentition after extraction of hypomineralized permanent first molars. Int J Paed Dent. 2007; 17: 328 - 35.
Adresse: Anne Beate Sønju Clasen, Spesialavdelingen, Avdeling for tannhelsetjenesten, Helseetaten, Oslo kommune, Pb 9112 Grønland, 0133 Oslo. E-post: anne.b.sonju.clasen@hel.oslo.kommune.no
Artikkelen har gjennomgått ekstern faglig vurdering.
Artikkelen er fagfellevurdert.
Artikkelen siteres som:
Sønju Clasen AB, Wang NJ. Oversikt over vanlige mineraliseringsforstyrrelser i emaljen
og erfaringer i klinikken. Nor Tannlegeforen Tid. 2016;126:764-70. doi:10.56373/2016-10-3