Tilsynelatende intakt melkemolar med apikal periodontitt – dens invaginatus påvist med mikro-CT ex vivo
Klinisk budskap
Dens invaginatus (DI) er en uvanlig tannutviklingsforstyrrelse i melketannsettet, og melkemolarer rammes svært sjeldent. Smale invaginasjoner kan være utfordrende å påvise klinisk og radiologisk, også med CBCT. Hos denne pasienten ble en melkemolar med tilsynelatende normal og intakt krone ekstrahert på grunn av apikal periodontitt, og invaginasjon ble påvist med mikro-CT.
Om pasient og bakgrunn
En syv år gammel jente av afrikansk opprinnelse møtte på Klinikk for allmenn odontologi – barn ved Institutt for klinisk odontologi, Universitetet i Oslo, for utredning av en asymptomatisk hevelse bukkalt for lett perkusjonsøm tann 74 (figur 1). Pasienten var ellers frisk og brukte ingen medikamenter. Klinisk undersøkelse viste en hevelse som var gulhvit i farge med glatt overflate, målte 4 mm i diameter og hadde gradvis økt i størrelse den siste måneden. Det var ingen synlig karies eller defekter i kronen til tann 74. Periapikalt røntgenbilde viste diffus periapikal osteolyse langs en kort distal rot, ellers upåfallende tann (figur 1). Kronisk idiopatisk periapikal abscess ble foreslått som tentativ diagnose.

Figur 1. Kliniske foto og periapikalt røntgenbilde viser tilsynelatende morfologisk normal og intakt krone tann 74 (bilde til venstre og i midten), mukosal hevelse bukkalt (bilde i midten) og periapikal oppklaring ved distale rot (bilde til høyre).
Pasienten ble henvist til Avdeling for kjeve- og ansiktsradiologi for videre utredning av omfanget og mulig årsak til osteolysen, inkludert mulighet for annen diagnose. Småfelts CBCT-undersøkelse (J. Morita Corp. Accuitomo XYZ) ble utført med raskest mulig skannetid for å redusere risikoen for bevegelsesartefakter og gi lav stråledose tilpasset aldersgruppen. Undersøkelsen bekreftet periapikal osteolyse ved den distale roten, opp til rotfurkasjonen, og viste i tillegg totalt manglende ben bukkalt for roten. Som ved klinisk og periapikal røntgenundersøkelse kunne det ikke påvises emaljedefekter i kronen, men et stort distalt pulpahorn ble mistenkt (figur 2).

Figur 2. Henholdsvis skrått sagittalt (venstre) og skrått koronalt (høyre) bildeutsnitt fra CBCT-undersøkelsen viser periapikal osteolyse ved distale rot tann 74 og osteolyse av tilstøtende bukkal korteks (pil høyre bilde). Det skrå sagittale bildeutsnittet gir inntrykk av et langt distalt pulpahorn (pil venstre bilde), men intakt okklusal emalje (pilhode venstre bilde).
Diagnosen ble samlet vurdert til pulpanekrose med apikal periodontitt og abscess av ukjent årsak. Basert på diagnosen og pasientens alder og modenhet ble ekstraksjon vurdert som beste behandling, og tannen ble fjernet in toto. Ved oppfølging etter tre måneder var abscessen forsvunnet og området klinisk tilhelet.
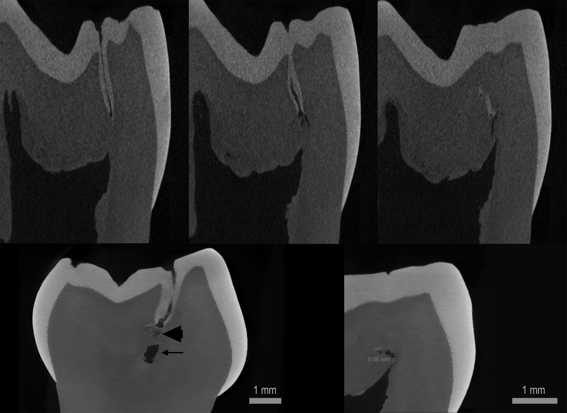
Etter ekstraksjon ble tannen undersøkt med mikro-CT (Bruker Corp. Skyscan 2211 Multiscale) ved Klinisk forskningslaboratorium, Institutt for klinisk odontologi, Universitetet i Oslo. Bildene avslørte en emaljedekket, smal okklusal invaginasjon i kronens distale del, med meget nær relasjon til det distale pulpahornet (figur 3). Nær pulpahornet, som var normalt i motsetning til hva CBCT-undersøkelsen indikerte, manglet invaginasjonen emaljedekke. I henhold til Oehlers klassifikasjon for dens invaginatus (DI) ble mikro-CT-funnene klassifisert som DI type I [1].

Figur 3. Bildeutsnitt fra mikro-CT-undersøkelsen.
Øverst: Tre sagittale snitt viser dens invaginatus, med åpning okklusalt i bildet til venstre og invaginasjonens mer og mer pulpanære utbredelse mot høyre. Merk den meget smale, emaljekledde okklusale inngangen (venstre bilde) og mangel på emalje samt mer uregelmessig form på invaginasjonen i dypet nærmere det distale pulpahornet (bildet i midten og bildet til høyre).
Nederst: Skrå koronalt snitt til venstre. Pilhodet viser den dypeste delen av invaginasjonen og pilen viser pulpahornet. Sagittalt snitt til høyre viser minste målbare avstand fra invaginasjonen til pulpahornet, 0,06 mm.
Diskusjon
DI er en utviklingsforstyrrelse av ukjent årsak som oppstår under tanndanning, med innbuktning av emalje inn i tannkronen. Infeksjon eller traume under tannutvikling og endringer eller fravær av vekstfaktorer er blitt foreslått som mulige forklaringer. Det sistnevnte støttes av en arvelig tendens i permanente tenner, samt en assosiasjon til andre genetiske tilknyttede anomalier [2].
I permanente tannsett er DI blant de hyppigste observerte utviklingsforstyrrelsene, og de rammer fra 0,25–26,1 %, oftest overkjevens lateraler [3]. I melketannsettet er DI sjeldent, men er rapportert i overkjevens sentraler, hjørnetenner og melkemolarer [4][5][6].
Oehlers klassifikasjon brukes ofte for å beskrive utbredelsen av invaginasjonen [1]. Type I er begrenset til kronen, type II strekker seg forbi emalje-sement-grensen og inn i roten, og type III strekker seg gjennom roten med en lateral (type IIIa) eller apikal (type IIIb) åpning til periodontiet. Når DI forekommer uten tegn til morfologisk avvik i kronen, uten synlig og sonderbar åpning, utgjør det en diagnostisk utfordring.
Selv om invaginasjoner er dekket av emalje, er emaljen ofte tynn, og den dekker ikke alltid hele invaginasjonen. Særlig i dypet av invaginasjoner kan det være områder med hypomineralisert emalje, eksponert dentin og til tider uregelmessig dentinstruktur med kommunikasjon til pulpa [1][7]. Det antas også at invaginasjonen kan inneholde rester av tannlist eller periodontalt bindevev som kan bli nekrotisk og øke risikoen for bakteriell invasjon av pulpa, selv uten kliniske tegn til karies eller traumehistorikk [1][2][8]. Bakteriell invasjon av pulpa på grunn av eksponert dentin i invaginasjonen er sannsynlig årsak til apikal periodontitt og abscess i denne kasuistikken, siden karies, andre tannsykdommer eller skader ikke ble påvist.
I dette tilfellet var invaginasjonen svært smal og ble ikke identifisert klinisk eller radiologisk ved verken periapikalt røntgenbilde eller CBCT-undersøkelse. I mange tilfeller, særlig i permanente tenner, kan man lykkes med å sondere eller se inngangen til invaginasjonen klinisk, og periapikalt røntgenbilde er vanligvis tilstrekkelig for å bekrefte diagnosen. Periapikalt røntgenbilde er også ofte tilstrekkelig for å mistenke diagnosen dersom resultater fra klinisk undersøkelse ikke foreligger. Ytterligere undersøkelser, som CBCT-undersøkelse, kan være nyttig for mer nøyaktig å fastslå omfang og kompleksitet av invaginasjoner før man tar en behandlingsbeslutning [9].
Ved klinisk tydelige invaginasjoner hvor kariesutvikling ikke mistenkes, og tannen er asymptomatisk og vanlig sensibel, er CBCT-undersøkelse likevel ikke nødvendig før anbefalt forebyggende behandling som fissurforsegling. CBCT anbefales generelt sett heller ikke for vurdering av små defekter i tannkroner, eksempelvis ved kariesmistanke, fordi modaliteten har høyere risiko for falske funn i kronedentin enn i rotdentin. Grunnen er høy og ujevn bildestøy kombinert med bildeartefakter fra den høye mineraltettheten i emalje, og det er spesielt høy risiko for falske funn i tannkroner ved bruk av lavdoseprotokoller. Det vil også alltid være en viss grad av bevegelse under CBCT-skanning grunnet lang eksponeringstid eller skannetid. Blir bevegelsene store nok, blir bildekvaliteten synlig redusert, og yngre barn har større sannsynlighet for å bevege seg [10][11][12]. Derfor bruker man kortest mulig skannetid når man vurderer at barnet har høy risiko for å bevege seg underveis. I dette tilfellet var ikke bildekvaliteten i CBCT-undersøkelsen god nok til å kunne påvise den smale invaginasjonen, og bildene ga i stedet et feilaktig inntrykk av et stort pulpahorn. Den eneste nytten CBCT-undersøkelsen derfor hadde i dette tilfellet, var å bekrefte den tentative periapikale diagnosen. Retrospektivt vil det være ulike meninger om bruken av CBCT i dette tilfellet var berettiget.
Tradisjonelt vurderes DI i ekstraherte tenner med konvensjonell histologi. Mikro-CT kan i dag også benyttes. Mikro-CT er non-invasiv og gir høyoppløselige tverrsnitts- og 3D-bilder av humane prøver ex vivo. Høy stråledose og ingen bevegelse av prøven under skanning er noen av faktorene som gir den høye bildeoppløsningen. Det, kombinert med enkel tilgang til mikro-CT ved universitetsklinikk, var årsaken til at mikro-CT ble valgt i stedet for histologi i dette tilfellet.
Takk
Informert samtykke ble gitt av foresatte for publisering av kliniske opplysninger og bilder.
Overingeniør Liebert Parreiras Nogueira og fotograf Marie Lindeman Johansen ved Institutt for klinisk odontologi, Universitetet i Oslo, bidro med henholdsvis mikro-CT-skanning og hjelp til figurene, og spesialist i pedodonti, Arne Jacobsen, var veileder ved klinisk undersøkelse og behandling.
Referanser
Oehlers FA. Dens invaginatus (dilated composite odontome). I. Variations of the invagination process and associated anterior crown forms. Oral Surg Oral Med Oral Pathol. 1957;10(11):1204–18. https://doi: 10.1016/0030-4220(57)90077-4.
Alani A, Bishop K. Dens invaginatus. Part 1: classification, prevalence and aetiology. Int Endod J. 2008;41(12):1123–36. https://doi: 10.1111/j.1365-2591.2008.01468.x.
Thakur S, Thakur NS, Bramta M, Gupta M. Dens invagination: A review of literature and report of two cases. J Nat Sci Biol Med. 2014;5(1):218–21. https://doi: 10.4103/0976-9668.127341.
Holan G. Dens invaginatus in a primary canine: a case report. Int J Paediatr Dent. 1998;8(1):61–4. https://doi: 10.1046/j.1365-263x.1998.00064.x.
Bansal AV, Bansal A, Kulkarni VK, Dhar RS. Dens invaginatus in primary maxillary molar: a rare case report and review of literature. Int J Clin Pediatr Dent. 2012;5(2):139–41. https://doi: 10.5005/jp-journals-10005-1152.
Eden EK, Koca H, Sen BH. Dens invaginatus in a primary molar: report of case. ASDC J Dent Child. 2002;69(1):49–53, 12.
Pandiar D, Vijayalakshmi C, Kumar A, Maliyekkal SP, Pattamparambath M. Light Microscopic Features of Type II Dens Invaginatus in A Deciduous Mandibular Molar. J Clin Diagn Res. 2017;11(5):Zj03–zj4. https://doi: 10.7860/JCDR/2017/26493.9800.
Seow WK. Diagnosis and management of unusual dental abscesses in children. Aust Dent J. 2003;48(3):156–68. https://doi: 10.1111/j.1834-7819.2003.tb00026.x.
Patel S, Durack C, Abella F, Roig M, Shemesh H, Lambrechts P, et al. European Society of Endodontology position statement: the use of CBCT in endodontics. Int Endod J. 2014;47(6):502–4. https://doi: 10.1111/iej.12267.
Schulze R, Heil U, Gross D, Bruellmann DD, Dranischnikow E, Schwanecke U, et al. Artefacts in CBCT: a review. Dentomaxillofac Radiol. 2011;40(5):265–73. https://doi: 10.1259/dmfr/30642039.
Moratin J, Berger M, Rückschloss T, Metzger K, Berger H, Gottsauner M, et al. Head motion during cone-beam computed tomography: Analysis of frequency and influence on image quality. Imaging Sci Dent. 2020;50(3):227–36. https://doi: 10.5624/isd.2020.50.3.227.
Donaldson K, O'Connor S, Heath N. Dental cone beam CT image quality possibly reduced by patient movement. Dentomaxillofac Radiol. 2013;42(2):91866873. https://doi: 10.1259/dmfr/91866873.
Forfatterne oppgir ingen interessekonflikter.
Akseptert for publisering 26.03.2026. Artikkelen er fagfellevurdert.
Artikkelen siteres som:
Skallevold HE, Hol C, Wigen TI. Tilsynelatende intakt melkemolar med apikal periodontitt – dens invaginatus påvist med mikro-CT ex vivo. Nor Tannlegeforen Tid. 2026;136. doi:10.56373/69dcc7251034d