Orale karakteristika hos personer med PTEN-hamartom tumorsyndrom (PHTS)
Klinisk hovedbudskap
Pasienter med PHTS står overfor betydelige utfordringer med oral og generell helse.
I studien beskrives orale karakteristiske funn som kan legge til rette for tidlig gjenkjenning av PHTS.
Funnene understreker behovet for å integrere oral helsehjelp i behandling av pasienter med PHTS.
Originalartikkelen
Målet med denne tverrsnittstudien var å beskrive orale karakteristika og evaluere helsestatus til pasienter med PTEN-hamartom tumorsyndrom (PHTS).
I alt deltok 20 individer ≥18 år diagnostisert med PHTS ved Haukeland universitetssjukehus i Bergen. Det ble utført en omfattende oral undersøkelse, inkludert registrering av kliniske dentale og periodontale parametre, gingival overvekst og ganearkitektur, intraorale røntgenbilder, ortopantomografi og intraoral optisk skanning. PTEN genvariasjon og medisinsk historie ble kartlagt.
Artikkelen er publisert i J Clin Periodontol 2025 Dec;52(12):1698-1711. doi: 10.1111/jcpe.70005. Epub 2025 Sep 1. PMID: 40889874 [1]. Supplerende foto er presentert i JCP «Supporting information section». Artikkelen er utgitt i tidsskrift med abonnement.
Klinisk problemstilling
PHTS er forårsaket av patogene varianter i PTEN (fosfatase og tensin homolog)-genet, et tumorsuppressorgen som er en kritisk regulator av cellevekst, overlevelse og metabolisme [2].
De kliniske trekkene ved PHTS viser stor variasjon. Makrocefali, mukokutane lesjoner, cancer, gastrointestinale hamartomer og økt forekomst av infeksjoner og autoimmune sykdommer er blant de vanligste manifestasjonene [3]. Kumulativ livstidskreftrisiko for enhver kreftform er høy og varierer fra 81 % til 90 %. Opptil 23 % av pasientene er diagnostisert med autismespekterforstyrrelse og/eller utviklingsforsinkelse. Forekomst av PHTS er estimert til 1 av 200 000–250 000 individer.
Vi savner detaljerte studier av oral helse hos pasienter med PHTS. Gingival overvekst kan bli ekstrem og føre til økt fare for periodontitt og kariesutvikling pga. vanskeligheter med renhold [4].

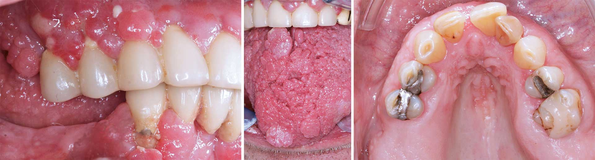
Figur 1.a, b og c. Kliniske foto viser eksempler på a) gingival overvekst, b) fissurert tunge med papillomatøse utvekster og c) høy gane.
Beste klinisk praksis og forståelse
På grunn av den høye forekomsten av systemisk cancer er det viktig med tidlig diagnostisering av denne pasientgruppen for rask igangsetting av forebygging og behandling. Svekket oral helse medfører behov for tett oppfølging, inkludert profylaktiske tiltak og behandling hos tannhelsepersonell.
Funn og relevans
I denne tverrsnittstudien deltok 20 PHTS-pasienter (13 kvinner), medianalder 45 år. Elleve pasienter (55 %) ble diagnostisert med periodontitt. 19 pasienter (95 %) hadde gingival overvekst, hvorav ni pasienter (45 %) hadde behov for behandling. Papler/papillomatøse slimhinnelesjoner var et universelt funn (100 %), og åtte pasienter (40 %) hadde fissurert tunge. Ganehøydeindeks var høy. Median DMFS- og DMFT-skår var henholdsvis 58 og 17. Makrocefali ble funnet hos samtlige 17 pasienter der dette ble målt. Åtte pasienter hadde totalt 13 kreftdiagnoser. Funnene understreker behovet for å integrere oral helsehjelp i behandling av pasienter med PHTS.
Referanser
Nevland K, Fardal Ø, Vetti HH, Bolstad AI. Oral characteristics in individuals with PTEN Hamartoma Tumor Syndrome. J Clin Periodontol. 2025;52(12):1698–1711. https://doi.10.1111/jcpe.70005. E-publ. 1. sept. 2025. PMID: 40889874
Chen C-Y, J, Chen J, He L, Stiles BL. PTEN: Tumor suppressor and metabolic regulator. Front Endocrinol (Lausanne). 2018;9: 338. https://doi.org/10.3389/fendo.2018.00338.
Drissen MMCM, Schieving JH, Schuurs-Hoeijmakers JHM, Vos JR, Hoogerbrugge N. Red flags for early recognition of adult patients with PTEN Hamartoma Tumour Syndrome. Eur J Med Genet. 2021; 64(12):104364. https://doi.org/10. 1016/j.ejmg.2021.104364.
Fardal Ø, Nevland K, Johannessen AC, Vetti HH. The PTEN Hamartoma Tumor Syndrome: How oral clinicians may save lives. Clin Adv Periodontics. 2023;13(1):21–26. https://doi.org.10.1002/cap.10196.
Akseptert for publisering 15.01.2026. Artikkelen er fagfellevurdert.
Artikkelen siteres som:
Nevland K, Fardal Ø, Vetti HH, Bolstad AI. Orale karakteristika hos personer med PTEN-hamartom tumorsyndrom (PHTS). Nor Tannlegeforen Tid. 2026;. doi:10.56373/6978cc3c36a61