Follikulærcyste med displassert visdomstann mot orbitagulvet
Hovedbudskap
Follikulærcyster er vanlige odontogene cyster, men store cyster med displassering av tenner mot orbitagulv er sjeldent.
Kirurgisk behandling krever omfattende planlegging og tverrfaglig tilnærming.
En 46 år gammel mann ble henvist for vurdering av en mistenkt cystisk forandring som tilfeldig ble oppdaget i forbindelse med behandlingsplanlegging for søvnapné. CBCT viste en stor cyste på venstre side av overkjeve, assosiert med en retinert visdomstann som var forskjøvet opp mot orbitagulvet. Etter biopsitagning og gjennomført infeksjonsbehandling, ble cysten og tilhørende tenner fjernet kirurgisk i sin helhet. Buccale fettpute ble transposisjonert og benyttet til lukking over benvev hvor omliggende slimhinne ikke strakk til for å oppnå primær sårlukking. Histologisk undersøkelse bekreftet en cystisk lesjon forenlig med en follikulærcyste. Pasienten hadde en ukomplisert postoperativ tilheling.
Follikulærcyster utgjør omtrent 15–18 % av alle odontogene cyster og forekommer hyppigst ved retinerte tenner. Større cyster kan forskyve tenner og resultere i omfattende anatomiske endringer. Dette kasuset beskriver en sjelden stor follikulærcyste i overkjeven, og illustrerer viktigheten av å «etterlyse» tenner som ikke bryter frem som forventet. Periapikal- og panoramarøntgen undersøkelser ved «etterlyste» tenner vil ofte være til stor hjelp og bør benyttes av klinikere ved mistanke om eventuelt retinerte tenner.
Klinikk
En 46 år gammel mann uten vesentlig tidligere sykehistorie ble henvist for utredning av en mulig cystisk prosess. Pasienten var utredet hos spesialist i øre-nese-halssykdommer og diagnostisert med mild søvnapné. Det var vurdert at pasienten skulle få fremstilt en søvnapnéskinne, og i den anledning ble det foretatt en panormarøntgenundersøkelse, og displassert tann 28 med tilhørende cyste ble oppdaget. Orofacial undersøkelse avslørte ingen asymmetrier eller lymfadenopati. Intraoral undersøkelse viste et tannsett fritt for patologi og normale slimhinner, men ingen frembudte visdomstenner.
Radiologiske funn
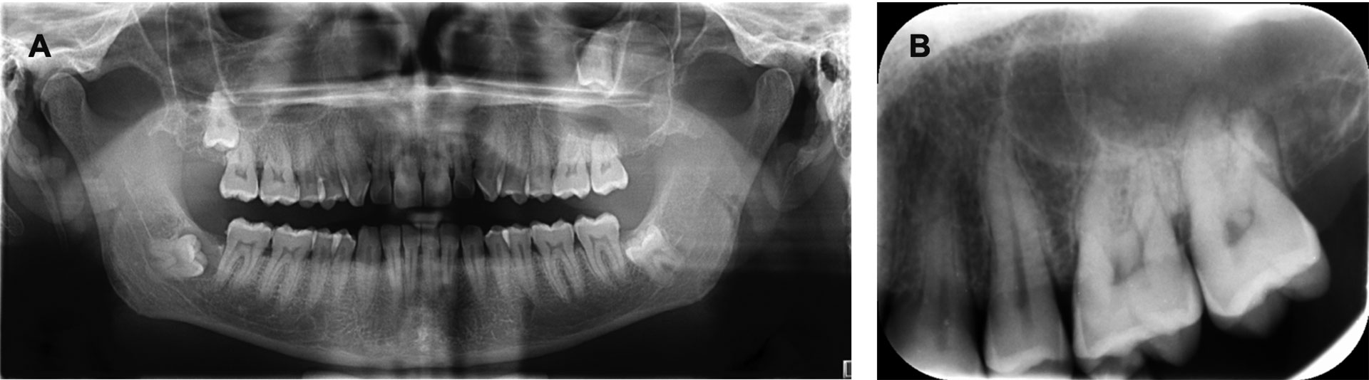
Panoramarøntgen og CBCT viste retinerte visdomstenner 18, 28, 38 og 48 (figur 1). Det ble påvist en stor cystisk prosess som fylte ut deler av den venstre delen av kjevekammen i overkjeven, samt en betydelig del av venstre maxillarsinus. Prosessen hadde en tynn bengrense mot den ellers luftfylte øvre delen av bihulen. Det forelå fortynning og ekspansjon av både lateral og posterior sinusvegg. Tann 28 var displassert kranialt i retning orbitagulvet (figur 2). Marginalavgrensningen av prosessen var noe utvisket, og det forelå lett resorpsjon av apices på tann 26 og 27 (figur 1 B). Radiologisk tentativ diagnose var en cystisk prosess, mest forenlig med enten en keratocyste eller follikulærcyste i venstre del av maxilla og maxillarsinus.

Figur 1. Preoperative panorama- og periapikalrøntgen av pasienten før kirurgisk ekstirpasjon av tenner 27, 28 samt cystektomi. A: Preoperativt panorama. Retinerte visdomstenner og tann 28 displassert mot orbita i en cystisk prosess. B: Intraoralt bilde av regio 24-28 som viser cystens anteriore og kaudale begrensing.

Figur 2. Preoperativ CBCT av regio 23-28 hvor nevnte tenner, cysten og venstre maxillarsinus også omfattes. A: Sagittalt CBCT snitt viser tann 28 og cysteomfang mot noe luft cranialt i bihulen. B: Coronalt CBCT snitt viser cranialt displassert tann 28 med apikalområdet mot orbitagulvet. C: Axialt CBCT snitt viser krone tann 28 og ekspandert posterior bengrense for venstre maxillarsinus.
Diagnose
K01.0 Retinert tann
K09.0 Odontogen utviklingscyste
Behandling
På bakgrunn av objektive funn forenelig med en ekspansiv cystisk prosess i regio 28, var det terapeutisk indikasjon for kirurgisk intervensjon med initial eksplorasjon og biopsi, og påfølgende komplett ekstirpasjon etter histopatologisk diagnose.
Eksplorasjon og biopsi
Samme dag som pasienten var til klinisk undersøkelse ved Avdeling for oral kirurgi og oral medisin ble det gjennomført en eksplorativ oppklapping. En liten åpning i benvev ble identifisert distalt for tann 27 og utvidet med roterende instrument. Penetrasjon av cystekapsel resulterte i evakuering av brunlig, luktfri væske, samtidig som det ble tatt en biopsi. Da cysten utvilsomt bredde seg inn i sinus maxillaris på pasientens venstre side, ble pasienten postoperativt satt på kur med amoxicillin (1 g x 4) i fem dager.
Ved kontroll åtte dager etter biopsi rapporterte pasienten minimalt ubehag. Femten dager etter biopsi kontaktet pasienten klinikken grunnet trykkfornemmelse og spontan evakuering av puss og blod intraoralt fra regio 28. Klinisk undersøkelse viste ingen tegn til akutt infeksjon, men gulbrun væske kunne masseres fra en åpning i slimhinnen i regio 28. Det ble tatt prøve av væsken som etter mikrobiologisk analyse ble identifiserte som rik på Klebsiella Oxytoca. Bakterien er en fakultativ anaerob art som ikke er sensitiv for tradisjonelle antibiotika brukt mot infeksjoner i munn og kjeve. Behandling med Ciprofloxacin 500 mg x 2 i 14 dager ble initiert.
Kirurgisk ekstirpasjon
Elektiv kirurgi ble gjennomført med preoperativ peroral sedasjon. Pasienten startet med antibiotikakur (Ciprofloxacin) siste tre døgn før operasjon. Etter løsning av mucoperiostallapp og fremstilling av et benvindu, ble cystekapselen forsiktig mobilisert sammen med tann 28 som var displassert mot orbitagulvet. Tann 27 måtte også fjernes for å gi tilgang til cyste og tilhørende tann. Tann 28 satt med apex inn mot orbitagulvet. Etter ekstirpasjon av tann og cyste ble en perforasjon mot orbitagulvet observert. Da det ikke var tilstrekkelig mobilitet i lappen som ble elevert, ble det avgjort at buccal fettpute på pasientens venstre side skulle mobilisert slik at det på denne måten kunne oppnås primær lukking (figur 3 C). Postoperativt forløp var ukomplisert.

Figur 3. Peroperative bilder av distalsegment i 2.kvadrant og preparat ved operasjon oktober 2024. A: Cyste og tann som ekstirperes. B: Perforasjon inn til orbitagulvet. C: Buccale fettpute som er mobilisert og suturert over bendeffekt. D: Cyste og tenner 28 og 27 med linjal for størrelsessammenligning.
Histopatologi
Mikroskopisk viste den første biopsien kun et fibrøst bindevev uten tegn til inflammasjon. Det ble også funnet svakt basofile finfibrede områder slik det er vanlig i follikkelvegger. Det ble imidlertid ikke funnet epitel, så man kunne ikke bekrefte den kliniske diagnosen av en follikulærcyste.
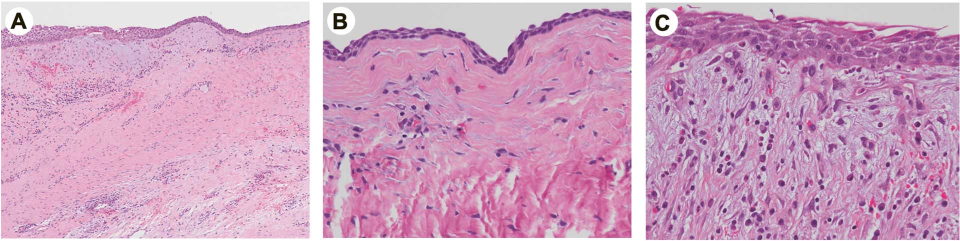
Mikroskopi av operasjonspreparatet derimot viste en plateepitelkledd cystevegg med fokal områder med mild infiltrasjon av kroniske betennelsesceller (figur 4). Dette er forenlig med en follikulærcyste. Inflammasjonen kan skyldes den tidligere biopsitakingen. Det var ingen tegn til keratinisering som i en parakeratiniserende odontogen keratocyste.

Figur 4. Histologiske foto av preparat som ble fjernet ved operasjon i oktober 2024. Bildeserien illustrere diversiteten som kan observeres i cysteveggen i en og samme cyste. A: Mikrofoto med 2x objektiv av cysteveggen. Man ser et tynt lag av flerlaget plateepitel øverst. Det hviler for det meste direkte på et fibrøst bindevev med ubetydelige tegn til inflammasjon (Venstre side). Mot høyre er epitelet noe tykkere og her ser man en mild diffus infiltrasjon av betennelsesceller. B: Mikrofoto med 20x objektiv. Et tynt epitel, nærmest toradet kubisk epitel sees øverst. Det er lik det reduserte epitel man ofte ser dekker en follikkelvegg uten cyste. Det sees kun ubetydelige tegn på inflammasjon (runde cellekjerner). C: Mikrofoto med 20x objektiv av område med mild infiltrasjon av kroniske betennelsesceller (runde kjerner). Man ser også en noe forøket epiteltykkelse som vel skyldes inflammasjonen.
Diskusjon
Ved tannfrembrudd vil det reduserte emaljeepitelet rundt en frembrytende tann vanligvis smelte sammen med intraoral overflateepitel og sammen danne epitelet i gingiva og gingivallommen rundt den frembrytende tannen. Dersom tannen hindres i å bryte frem, vil væske kunne akkumuleres mellom det reduserte emaljeepitelet og tannkronen, og en follikulærcyste kan oppstå [1][2][3]. Follikulærcysten har sitt feste til emaljecementgrensen på tilhørende tenner og kan bli relativt store, resorbere røtter og displassere tenner [2][4].
Follikulærcysten utgjør omtrent 15–18 % av alle kjevecyster og er den nest vanligste odontogene cysten etter radikulærcyste [5]. Den er som oftest asymptomatisk og kan forekomme hos pasienter i alle aldre, men oppdages oftest rundt frembrytende mandibulære visdomstenner og maxillære hjørnetenner [6][7] hos tenåringer og unge voksne [1].
Mikroskopisk har follikulærcysten varierende utseende, avhengig om cysten er infisert eller ikke. Cyster uten infeksjon er dekket av et tynt, ikke-keratinisert plateepitel med 2–4 cellelag [1]. Infiserte follikulærcyster har betennelsesinfiltrat i bindevevsveggen slik man ser hos radikulærcyster. Histologisk vil man hos infiserte cyster kunne observere et granulasjonsvev inn mot epitelet og en fibrøs kapsel utenpå.
Cysten i denne kasuistikken skiller seg ut både med tanke på størrelse, lokalisasjon og omfattende displassering av tann. Det er i litteraturen rapportert få tilfeller der follikulærcyster har displassert tenner inn i sinus maxillaris slik som i dette tilfellet. Buyukkurt og medarbeidere gjorde en gjennomgang av tilgjengelig litteratur på Medline i perioden 1980-2009, og fant kun 17 tilfeller, mens Al-Ani og medarbeidere gjorde tilsvarende søk i Medline for perioden 1990 til 2022 og fant kun 28 tilfeller [3][8].
Behandling av follikulærcyster avhenger av cystens størrelse, lokalisasjon og anatomiske forhold. De mest brukte metodene er enukleasjon og marsupialisering [2]. Enukleasjon innebærer komplett fjerning av cysten og assosiert tann, mens marsupialisering innebærer dekompresjon av cysten og eventuell senere enukleasjon [2]. Valg av metode må individualiseres basert på pasientens alder, generell helse og ønske om bevaring av tenner. Ved store cyster med utbredelse mot sinus og orbitagulv, slik som i denne kasuistikken, kreves ofte en mer omfattende kirurgisk tilnærming. Caldwell-Luc teknikk (åpning inn til sinus gjennom et lateralt vindu), endoskopisk sinuskirurgi og nyere teknikker som ARAS (Augmented Reality Assisted Surgery) har vært brukt for bedre presisjon og redusert invasivitet [4].
Prognosen etter adekvat behandling er god, med lav risiko for residiv, men ubehandlede cyster kan derimot resultere i overnevnte komplikasjoner som benresorpsjon og tannforflytning. Det er også i litteraturen rapportert om enkelt tilfeller av større follikulærcyster i maxilla som har medført trykk mot øyet, diplopi (dobbeltsyn) og redusert nasal luftpassasje (9, 10). Noen ganger vil det som klinisk og røntgenologisk ser ut som en follikulærcyste vise seg å være en keratocyste og i sjeldne tilfeller forekommer også neoplastisk transformasjon som ved ameloblastom og karsinom i deler av veggen til follikulærcysten. Dette potensialet til neoplastisk transformasjon, og infiltrasjon utover cysteveggen underbygger fullt ut behovet for histopatologisk undersøkelse av alt materiale som fjernes fra kjevecyster [2].
Differensialdiagnoser som bør vurderes ved mistanke om follikulærcyster er blant annet odontogen keratocyste (parakeratinisert epitel, høy residivtendens) og ameloblastom (benign, men lokalt aggressiv tumor, radiografisk liknende, men med distinkte histologiske trekk).
Takk
Stor takk til pasienten som har samtykket til publisering og fotograf/grafiker Marie Lindeman Johansen for arbeidet med bilderedigering og layout.
Referanser
Chi ACDMD, Neville BWDDS. Odontogenic Cysts and Tumors. Surg Pathol Clin. 2011;4(4):1027-91.
Glick M GM, Lockhart PB, Challacombe SJ. Burket’s Oral Medicine, 13th Edition. 13th ed: John Wiley & Sons; 2021 2021.
Buyukkurt MC, Omezli MM, Miloglu O. Dentigerous cyst associated with an ectopic tooth in the maxillary sinus: a report of 3 cases and review of the literature. Oral Surgery, Oral Medicine, Oral Pathology, Oral Radiology, and Endodontology. 2010;109(1):67-71.
Suenaga H, Sakakibara A, Koyama J, Hoshi K. A clinical presentation of markerless augmented reality assisted surgery for resection of a dentigerous cyst in the maxillary sinus. J Stomatol Oral Maxillofac Surg. 2024;125(5):101767.
Ferneini EM, Goupil MT. Evidence-Based Oral Surgery : A Clinical Guide for the General Dental Practitioner. Cham: Springer International Publishing : Imprint: Springer; 2019.
Jones AV, Craig GT, Franklin CD. Range and demographics of odontogenic cysts diagnosed in a UK population over a 30-year period. J Oral Pathol Med. 2006;35(8):500-7.
Shear M, Speight PM. Cysts of the Oral and Maxillofacial Regions. Newark, UNITED KINGDOM: John Wiley & Sons, Incorporated; 2007.
Al-Ani RM, Aldelaimi TN, Khalil AA, Abdulkareem SM. Ectopic upper third molar embedded in a dentigerous cyst of the maxillary sinus: a case report and literature review. The Egyptian journal of otolaryngology. 2024;40(1):8-7.
Kara Mİ, Yanık S, Altan A, Öznalçın O, Ay S, İşler S. Large Dentigerous Cyst In The Maxillary Sinus Leading To Diplopia And Nasal Obstruction: Case Report. European oral research. 2015;49(2):46-50.
Quiroz-Quiroga MJ, González Valdivia H, Palazón Cabanes A, Rubio Palau J, Prat Bartomeu J. Amblyopia due a dentigerous cyst. Case report and literature review. J Fr Ophtalmol. 2021;44(8):1249-55.
English summary
Follicular cyst associated with a displaced maxillary third molar extending against the orbital floor
A 46-year-old male patient was referred for evaluation of a suspected cystic lesion that was discovered incidentally during sleep apnea treatment planning. CBCT imaging revealed a large cyst in the left maxilla associated with an impacted third molar displaced against the orbital floor. Following biopsy and infection management, complete surgical removal of the cyst and associated teeth were performed. The buccal fat pad was mobilized and used for wound closure in areas where the surrounding mucosa was insufficient to achieve primary wound closure. Histological examination confirmed a cystic lesion consistent with a dentigerous cyst. The patient had an uncomplicated postoperative recovery.
Homayouni A, Riis UH, Solheim T, Pham MH. Follikulærcyste med displassert visdomstann mot orbitagulvet. Nor Tannlegeforen Tid. 2025;135:870-4. doi:10.56373/68dd2b2ca31f2
Nøkkelord: Follikulærcyste, sinus maxillaris, displassert tann, oro-antral kommunikasjon, cystektomi, infeksjon.
Akseptert for publisering 18.08.2025. Artikkelen er fagfellevurdert.
Artikkelen siteres som:
Homayouni A, Riis UH, Solheim T, Pham MH. Follikulærcyste med displassert visdomstann mot orbitagulvet. Nor Tannlegeforen Tid. 2025;135:870-4. doi:10.56373/68dd2b2ca31f2